Cochrane on Preventing Falls: Exercise Is Best Intervention

Article Type
Changed
Display Headline
Cochrane on Preventing Falls: Exercise Is Best Intervention

Home-based and group exercise programs are the interventions that most significantly reduce falls among elderly community-dwelling patients, according to an update published online Sept. 11 in the Cochrane Database of Systematic Reviews.

Home safety interventions also reduce falling, especially among elderly people at highest risk and especially when the interventions are performed by occupational therapists.

In contrast, walking programs, vitamin D supplementation, hormone replacement therapy, adjustment of medication regimens, nutritional therapy, cognitive behavioral therapy, vision improvement interventions, and withdrawal of psychotropic drugs do not decrease falls. And interventions such as footwear assessment, foot and ankle exercises, cataract surgery, pacemaker insertion, and patient education only appear to benefit select patient populations, Dr. Lesley D. Gillespie of the University of Otago, Dunedin, New Zealand, and associates wrote (Cochrane Database Syst. Rev. 2012 [doi: 10.1002/14651858.CD007146.pub3]).

Copyright thinkstockphotos.com
Group exercise and home-based exercise programs are the kinds of interventions that most significantly reduce falls among elderly people living in senior communities.

The investigators performed a systematic review of the literature and meta-analysis of 159 randomized clinical trials assessing interventions aimed at reducing falls among the elderly, to update the existing Cochrane Review of the subject that was published in 2009. The update includes 51 new trials that were performed after the publication of that initial Cochrane Review.

These clinical trials were conducted in 21 countries, and included 79,193 participants aged 60 years and older. The median sample size was 230 study subjects (range, 10-9,940 subjects), and 70% of the participants were women.

The effects of each intervention on both the rate of falls (the number of falls per person per year) and the risk of falling (the number of people who fell once or more during follow-up) were assessed for each intervention.

Fifty-nine trials specifically examined the effectiveness of various exercise programs in preventing falls, including gait training, balance training, functional training, muscle strength/resistance training, 3-D training (constant, repetitive movement through all three spatial planes), tai chi, and general physical activity such as walking.

Programs that contained more than one of these components were the most successful. Both home-based and group programs achieved a statistically significant reduction in both the rate of falls and the risk of falling. However, resistance training was associated with an increase in adverse events such as musculoskeletal injury and bursitis.

Tai chi alone significantly reduced the risk of falling, but the decrease in the rate of falls was of borderline significance only.

General activity such as walking did not reduce the rate or the risk of falling.

Medication interventions generally were ineffective at reducing falls, the researchers said.

Even though four new clinical trials involving nearly 6,000 patients examined vitamin D supplementation (with or without calcium), the treatment reduced falls only in those patients who had low serum levels of vitamin D at baseline. The vitamin D analogues calcitriol and alfacalcidol were associated with increased hypercalcemia.

Other medical interventions that were as ineffective included hormone therapy; the gradual withdrawal of psychotropic medications used to improve sleep, reduce anxiety, or treat depression; the adjustment of current medication regimens; and nutritional supplementation. The exception to this finding was a single program in which family physicians were given education by a clinical pharmacist, feedback on their prescribing practices, and financial incentives; their subsequent review and modification of elderly patients’ medication regimens did significantly reduce falls.

Surgical interventions to reduce falls included cataract surgery to improve vision and cardiac pacemaker insertion to decrease dizzy spells. A first cataract operation reduced the rate of falls but not the risk of falling, and subsequent cataract operations did not affect falls. Pacemakers cut the rate of falls in only the subgroup of patients who had cardioinhibitory carotid sinus hypersensitivity that induced sudden changes in heart rate and blood pressure, and they did not decrease the risk of falling in any patient group.

Other, nonsurgical interventions to improve vision actually increased the rate of falls and the risk of falling. One trial found that patients given vision assessment, eye examinations, new eyeglasses, referral for expedited treatment of any ophthalmologic problems, mobility training, and canes actually had higher rates of falls and higher risks of falling than did control subjects. Another trial showed that replacing multifocal eyeglasses with single-lens distance glasses for activities that involved walking and standing failed to reduce the rate or risk of falls overall, and actually increased outdoor falls among the frailer patients.

Interventions that addressed environmental issues or provided assistive technology produced mixed results. Assessing the safety of the home environment and making modifications prevented falls, especially in patients at highest risk of falling, such as those with severe visual impairment. A post hoc analysis showed that these interventions were significantly more effective when performed by an occupational therapist rather than other personnel.

 

 

However, providing walking aids such as canes, or communication enhancers such as hearing aids and personal alarm systems, did not decrease falls.

Similarly, changes in footwear were effective in some cases but not in others. The use of balance-enhancing insoles cut the rate of falls but not the risk of falls, and was beneficial primarily to patients who had disabling foot pain. The use of an antislip device on outdoor shoes decreased falls only in adverse weather conditions.

The evidence for or against patient education was inconclusive because of insufficient data at this time.

"As the majority of trials specifically excluded older people who were cognitively impaired, the results of this review may not be applicable to this important group of people at risk [for falling]," Dr. Gillespie and associates said.

Similarly, their review excluded trials involving patients with Parkinson’s disease and recovering stroke patients, "as we felt the results of interventions for those neurological conditions were not necessarily applicable to older people as a whole," they added.

No financial conflicts of interest were reported.

Author and Disclosure Information

Publications
Topics
Legacy Keywords
group exercise programs, home-based exercise programs, reduce falls, elderly community-dwelling patients, Cochrane Database of Systematic Reviews, Home safety interventions,
walking programs, vitamin D supplementation, hormone replacement therapy, adjustment of medication regimens, nutritional therapy, cognitive behavioral therapy, vision improvement interventions, footwear assessment, foot and ankle exercises, cataract surgery, pacemaker insertion, patient education, Dr. Lesley D. Gillespie,

T
Author and Disclosure Information

Author and Disclosure Information

Home-based and group exercise programs are the interventions that most significantly reduce falls among elderly community-dwelling patients, according to an update published online Sept. 11 in the Cochrane Database of Systematic Reviews.

Home safety interventions also reduce falling, especially among elderly people at highest risk and especially when the interventions are performed by occupational therapists.

In contrast, walking programs, vitamin D supplementation, hormone replacement therapy, adjustment of medication regimens, nutritional therapy, cognitive behavioral therapy, vision improvement interventions, and withdrawal of psychotropic drugs do not decrease falls. And interventions such as footwear assessment, foot and ankle exercises, cataract surgery, pacemaker insertion, and patient education only appear to benefit select patient populations, Dr. Lesley D. Gillespie of the University of Otago, Dunedin, New Zealand, and associates wrote (Cochrane Database Syst. Rev. 2012 [doi: 10.1002/14651858.CD007146.pub3]).

Copyright thinkstockphotos.com
Group exercise and home-based exercise programs are the kinds of interventions that most significantly reduce falls among elderly people living in senior communities.

The investigators performed a systematic review of the literature and meta-analysis of 159 randomized clinical trials assessing interventions aimed at reducing falls among the elderly, to update the existing Cochrane Review of the subject that was published in 2009. The update includes 51 new trials that were performed after the publication of that initial Cochrane Review.

These clinical trials were conducted in 21 countries, and included 79,193 participants aged 60 years and older. The median sample size was 230 study subjects (range, 10-9,940 subjects), and 70% of the participants were women.

The effects of each intervention on both the rate of falls (the number of falls per person per year) and the risk of falling (the number of people who fell once or more during follow-up) were assessed for each intervention.

Fifty-nine trials specifically examined the effectiveness of various exercise programs in preventing falls, including gait training, balance training, functional training, muscle strength/resistance training, 3-D training (constant, repetitive movement through all three spatial planes), tai chi, and general physical activity such as walking.

Programs that contained more than one of these components were the most successful. Both home-based and group programs achieved a statistically significant reduction in both the rate of falls and the risk of falling. However, resistance training was associated with an increase in adverse events such as musculoskeletal injury and bursitis.

Tai chi alone significantly reduced the risk of falling, but the decrease in the rate of falls was of borderline significance only.

General activity such as walking did not reduce the rate or the risk of falling.

Medication interventions generally were ineffective at reducing falls, the researchers said.

Even though four new clinical trials involving nearly 6,000 patients examined vitamin D supplementation (with or without calcium), the treatment reduced falls only in those patients who had low serum levels of vitamin D at baseline. The vitamin D analogues calcitriol and alfacalcidol were associated with increased hypercalcemia.

Other medical interventions that were as ineffective included hormone therapy; the gradual withdrawal of psychotropic medications used to improve sleep, reduce anxiety, or treat depression; the adjustment of current medication regimens; and nutritional supplementation. The exception to this finding was a single program in which family physicians were given education by a clinical pharmacist, feedback on their prescribing practices, and financial incentives; their subsequent review and modification of elderly patients’ medication regimens did significantly reduce falls.

Surgical interventions to reduce falls included cataract surgery to improve vision and cardiac pacemaker insertion to decrease dizzy spells. A first cataract operation reduced the rate of falls but not the risk of falling, and subsequent cataract operations did not affect falls. Pacemakers cut the rate of falls in only the subgroup of patients who had cardioinhibitory carotid sinus hypersensitivity that induced sudden changes in heart rate and blood pressure, and they did not decrease the risk of falling in any patient group.

Other, nonsurgical interventions to improve vision actually increased the rate of falls and the risk of falling. One trial found that patients given vision assessment, eye examinations, new eyeglasses, referral for expedited treatment of any ophthalmologic problems, mobility training, and canes actually had higher rates of falls and higher risks of falling than did control subjects. Another trial showed that replacing multifocal eyeglasses with single-lens distance glasses for activities that involved walking and standing failed to reduce the rate or risk of falls overall, and actually increased outdoor falls among the frailer patients.

Interventions that addressed environmental issues or provided assistive technology produced mixed results. Assessing the safety of the home environment and making modifications prevented falls, especially in patients at highest risk of falling, such as those with severe visual impairment. A post hoc analysis showed that these interventions were significantly more effective when performed by an occupational therapist rather than other personnel.

 

 

However, providing walking aids such as canes, or communication enhancers such as hearing aids and personal alarm systems, did not decrease falls.

Similarly, changes in footwear were effective in some cases but not in others. The use of balance-enhancing insoles cut the rate of falls but not the risk of falls, and was beneficial primarily to patients who had disabling foot pain. The use of an antislip device on outdoor shoes decreased falls only in adverse weather conditions.

The evidence for or against patient education was inconclusive because of insufficient data at this time.

"As the majority of trials specifically excluded older people who were cognitively impaired, the results of this review may not be applicable to this important group of people at risk [for falling]," Dr. Gillespie and associates said.

Similarly, their review excluded trials involving patients with Parkinson’s disease and recovering stroke patients, "as we felt the results of interventions for those neurological conditions were not necessarily applicable to older people as a whole," they added.

No financial conflicts of interest were reported.

Home-based and group exercise programs are the interventions that most significantly reduce falls among elderly community-dwelling patients, according to an update published online Sept. 11 in the Cochrane Database of Systematic Reviews.

Home safety interventions also reduce falling, especially among elderly people at highest risk and especially when the interventions are performed by occupational therapists.

In contrast, walking programs, vitamin D supplementation, hormone replacement therapy, adjustment of medication regimens, nutritional therapy, cognitive behavioral therapy, vision improvement interventions, and withdrawal of psychotropic drugs do not decrease falls. And interventions such as footwear assessment, foot and ankle exercises, cataract surgery, pacemaker insertion, and patient education only appear to benefit select patient populations, Dr. Lesley D. Gillespie of the University of Otago, Dunedin, New Zealand, and associates wrote (Cochrane Database Syst. Rev. 2012 [doi: 10.1002/14651858.CD007146.pub3]).

Copyright thinkstockphotos.com
Group exercise and home-based exercise programs are the kinds of interventions that most significantly reduce falls among elderly people living in senior communities.

The investigators performed a systematic review of the literature and meta-analysis of 159 randomized clinical trials assessing interventions aimed at reducing falls among the elderly, to update the existing Cochrane Review of the subject that was published in 2009. The update includes 51 new trials that were performed after the publication of that initial Cochrane Review.

These clinical trials were conducted in 21 countries, and included 79,193 participants aged 60 years and older. The median sample size was 230 study subjects (range, 10-9,940 subjects), and 70% of the participants were women.

The effects of each intervention on both the rate of falls (the number of falls per person per year) and the risk of falling (the number of people who fell once or more during follow-up) were assessed for each intervention.

Fifty-nine trials specifically examined the effectiveness of various exercise programs in preventing falls, including gait training, balance training, functional training, muscle strength/resistance training, 3-D training (constant, repetitive movement through all three spatial planes), tai chi, and general physical activity such as walking.

Programs that contained more than one of these components were the most successful. Both home-based and group programs achieved a statistically significant reduction in both the rate of falls and the risk of falling. However, resistance training was associated with an increase in adverse events such as musculoskeletal injury and bursitis.

Tai chi alone significantly reduced the risk of falling, but the decrease in the rate of falls was of borderline significance only.

General activity such as walking did not reduce the rate or the risk of falling.

Medication interventions generally were ineffective at reducing falls, the researchers said.

Even though four new clinical trials involving nearly 6,000 patients examined vitamin D supplementation (with or without calcium), the treatment reduced falls only in those patients who had low serum levels of vitamin D at baseline. The vitamin D analogues calcitriol and alfacalcidol were associated with increased hypercalcemia.

Other medical interventions that were as ineffective included hormone therapy; the gradual withdrawal of psychotropic medications used to improve sleep, reduce anxiety, or treat depression; the adjustment of current medication regimens; and nutritional supplementation. The exception to this finding was a single program in which family physicians were given education by a clinical pharmacist, feedback on their prescribing practices, and financial incentives; their subsequent review and modification of elderly patients’ medication regimens did significantly reduce falls.

Surgical interventions to reduce falls included cataract surgery to improve vision and cardiac pacemaker insertion to decrease dizzy spells. A first cataract operation reduced the rate of falls but not the risk of falling, and subsequent cataract operations did not affect falls. Pacemakers cut the rate of falls in only the subgroup of patients who had cardioinhibitory carotid sinus hypersensitivity that induced sudden changes in heart rate and blood pressure, and they did not decrease the risk of falling in any patient group.

Other, nonsurgical interventions to improve vision actually increased the rate of falls and the risk of falling. One trial found that patients given vision assessment, eye examinations, new eyeglasses, referral for expedited treatment of any ophthalmologic problems, mobility training, and canes actually had higher rates of falls and higher risks of falling than did control subjects. Another trial showed that replacing multifocal eyeglasses with single-lens distance glasses for activities that involved walking and standing failed to reduce the rate or risk of falls overall, and actually increased outdoor falls among the frailer patients.

Interventions that addressed environmental issues or provided assistive technology produced mixed results. Assessing the safety of the home environment and making modifications prevented falls, especially in patients at highest risk of falling, such as those with severe visual impairment. A post hoc analysis showed that these interventions were significantly more effective when performed by an occupational therapist rather than other personnel.

 

 

However, providing walking aids such as canes, or communication enhancers such as hearing aids and personal alarm systems, did not decrease falls.

Similarly, changes in footwear were effective in some cases but not in others. The use of balance-enhancing insoles cut the rate of falls but not the risk of falls, and was beneficial primarily to patients who had disabling foot pain. The use of an antislip device on outdoor shoes decreased falls only in adverse weather conditions.

The evidence for or against patient education was inconclusive because of insufficient data at this time.

"As the majority of trials specifically excluded older people who were cognitively impaired, the results of this review may not be applicable to this important group of people at risk [for falling]," Dr. Gillespie and associates said.

Similarly, their review excluded trials involving patients with Parkinson’s disease and recovering stroke patients, "as we felt the results of interventions for those neurological conditions were not necessarily applicable to older people as a whole," they added.

No financial conflicts of interest were reported.

Publications
Publications
Topics
Article Type
Display Headline
Cochrane on Preventing Falls: Exercise Is Best Intervention
Display Headline
Cochrane on Preventing Falls: Exercise Is Best Intervention
Legacy Keywords
group exercise programs, home-based exercise programs, reduce falls, elderly community-dwelling patients, Cochrane Database of Systematic Reviews, Home safety interventions,
walking programs, vitamin D supplementation, hormone replacement therapy, adjustment of medication regimens, nutritional therapy, cognitive behavioral therapy, vision improvement interventions, footwear assessment, foot and ankle exercises, cataract surgery, pacemaker insertion, patient education, Dr. Lesley D. Gillespie,

T
Legacy Keywords
group exercise programs, home-based exercise programs, reduce falls, elderly community-dwelling patients, Cochrane Database of Systematic Reviews, Home safety interventions,
walking programs, vitamin D supplementation, hormone replacement therapy, adjustment of medication regimens, nutritional therapy, cognitive behavioral therapy, vision improvement interventions, footwear assessment, foot and ankle exercises, cataract surgery, pacemaker insertion, patient education, Dr. Lesley D. Gillespie,

T
Article Source

FROM THE COCHRANE COLLABORATION

PURLs Copyright

Inside the Article

Vitals

Major Finding: Exercise programs with more than one component were the most effective interventions for preventing falls in elderly community-dwelling patients, regardless of whether the programs were home-based or conducted in group settings.

Data Source: Results were taken from a systematic review of the literature and meta-analysis of 159 randomized clinical trials involving 79,193 subjects aged 60 years and older, which compared the effectiveness of various interventions in fall prevention.

Disclosures: No financial conflicts of interest were reported.

Nurse-Led Case Management Cuts HF Readmissions, Mortality

Article Type
Changed
Display Headline
Nurse-Led Case Management Cuts HF Readmissions, Mortality

For patients discharged after hospitalization for heart failure, case-management interventions led by a specialist nurse reduce HF-related readmissions, HF-related mortality, and all-cause mortality, according to an update published online Sept. 11 in the Cochrane Database of Systematic Reviews.

© Dron/Fotolia.com
"There is now strong evidence that case-management interventions are associated with a substantial, statistically significant reduction in all-cause mortality."

The initial Cochrane Review that addressed the effectiveness of three different types of follow-up care (case-management, clinic-based, and multidisciplinary) after hospitalization for HF was published in 2005, and found mixed and inconclusive results for all three (Cochrane Database Syst. Rev. 2005 8;(2):CD002752).

Since then, several new clinical trials have been performed, and "there is now strong evidence that case-management interventions are associated with a substantial, statistically significant reduction in all-cause mortality" as well as HF mortality and rehospitalization, said Dr. Andrea Takeda of Queen Mary University, London, and her associates in the Cochrane Collaboration.

In contrast, the evidence doesn’t support interventions in which the major component is follow-up in a hospital HF clinic. And the evidence for multidisciplinary interventions is too sparse to be conclusive because only two high-quality studies have examined these approaches, the investigators wrote (Cochrane Database of Systematic Reviews 2012 [doi:101002/14651858.CD002752.pub3]).

Case-management programs led by personnel other than nurses specializing in HF, such as hospital-based or community pharmacists, nonspecialist nurses, or interdisciplinary teams, were not as successful as those led by specialist nurses, they added.

Dr. Takeda and her colleagues reviewed 25 randomized clinical trials of at least 6 months’ duration that compared the three types of interventions against usual care in 5,942 adults who had been hospitalized for HF. They excluded interventions that focused on patient education only, exercise only, telemedicine (which was examined in a separate Cochrane Review), or cardiac rehabilitation.

Most of the clinical trials had 100-350 study subjects, but some had fewer than 100 and one had over 1,000 subjects. They were conducted in Europe, the United States, Canada, Australia, and China.

Seventeen studies assessed case-management interventions. Pooling the results demonstrated that these interventions produced a substantial and highly significant reduction in all-cause mortality, HF-related mortality, and HF-related rehospitalization at 12 months. Although the overall impact of the interventions on inpatient days was "not clear," the researchers wrote, there was "a strong suggestion" that these interventions decreased hospital length of stay.

However, case-management interventions did not appear to improve event-free survival. They also did not appear to improve health-related quality of life, but few studies examined this outcome and those that did suffered from high dropout rates, so the data were inconclusive.

Only six clinical trials involving 1,486 patients assessed clinic-based interventions. They showed no reduction in readmissions, mortality, inpatient days, event-free survival, or health-related quality of life.

Only two clinical trials involving 403 patients assessed multidisciplinary programs. The data were inadequate to establish conclusive results, Dr. Takeda and her associates wrote.

In a post hoc analysis, the intensity of various interventions did not appear to influence their effectiveness. Studies of the most intensive, moderately intensive, and low-intensity interventions all showed some reductions in mortality and rehospitalization, the researchers added.

No financial conflicts of interest were reported.

Author and Disclosure Information

Publications
Topics
Legacy Keywords
heart failure, hospital readmission, Cochrane Database of Systematic Reviews, Dr. Andrea Takeda
Author and Disclosure Information

Author and Disclosure Information

For patients discharged after hospitalization for heart failure, case-management interventions led by a specialist nurse reduce HF-related readmissions, HF-related mortality, and all-cause mortality, according to an update published online Sept. 11 in the Cochrane Database of Systematic Reviews.

© Dron/Fotolia.com
"There is now strong evidence that case-management interventions are associated with a substantial, statistically significant reduction in all-cause mortality."

The initial Cochrane Review that addressed the effectiveness of three different types of follow-up care (case-management, clinic-based, and multidisciplinary) after hospitalization for HF was published in 2005, and found mixed and inconclusive results for all three (Cochrane Database Syst. Rev. 2005 8;(2):CD002752).

Since then, several new clinical trials have been performed, and "there is now strong evidence that case-management interventions are associated with a substantial, statistically significant reduction in all-cause mortality" as well as HF mortality and rehospitalization, said Dr. Andrea Takeda of Queen Mary University, London, and her associates in the Cochrane Collaboration.

In contrast, the evidence doesn’t support interventions in which the major component is follow-up in a hospital HF clinic. And the evidence for multidisciplinary interventions is too sparse to be conclusive because only two high-quality studies have examined these approaches, the investigators wrote (Cochrane Database of Systematic Reviews 2012 [doi:101002/14651858.CD002752.pub3]).

Case-management programs led by personnel other than nurses specializing in HF, such as hospital-based or community pharmacists, nonspecialist nurses, or interdisciplinary teams, were not as successful as those led by specialist nurses, they added.

Dr. Takeda and her colleagues reviewed 25 randomized clinical trials of at least 6 months’ duration that compared the three types of interventions against usual care in 5,942 adults who had been hospitalized for HF. They excluded interventions that focused on patient education only, exercise only, telemedicine (which was examined in a separate Cochrane Review), or cardiac rehabilitation.

Most of the clinical trials had 100-350 study subjects, but some had fewer than 100 and one had over 1,000 subjects. They were conducted in Europe, the United States, Canada, Australia, and China.

Seventeen studies assessed case-management interventions. Pooling the results demonstrated that these interventions produced a substantial and highly significant reduction in all-cause mortality, HF-related mortality, and HF-related rehospitalization at 12 months. Although the overall impact of the interventions on inpatient days was "not clear," the researchers wrote, there was "a strong suggestion" that these interventions decreased hospital length of stay.

However, case-management interventions did not appear to improve event-free survival. They also did not appear to improve health-related quality of life, but few studies examined this outcome and those that did suffered from high dropout rates, so the data were inconclusive.

Only six clinical trials involving 1,486 patients assessed clinic-based interventions. They showed no reduction in readmissions, mortality, inpatient days, event-free survival, or health-related quality of life.

Only two clinical trials involving 403 patients assessed multidisciplinary programs. The data were inadequate to establish conclusive results, Dr. Takeda and her associates wrote.

In a post hoc analysis, the intensity of various interventions did not appear to influence their effectiveness. Studies of the most intensive, moderately intensive, and low-intensity interventions all showed some reductions in mortality and rehospitalization, the researchers added.

No financial conflicts of interest were reported.

For patients discharged after hospitalization for heart failure, case-management interventions led by a specialist nurse reduce HF-related readmissions, HF-related mortality, and all-cause mortality, according to an update published online Sept. 11 in the Cochrane Database of Systematic Reviews.

© Dron/Fotolia.com
"There is now strong evidence that case-management interventions are associated with a substantial, statistically significant reduction in all-cause mortality."

The initial Cochrane Review that addressed the effectiveness of three different types of follow-up care (case-management, clinic-based, and multidisciplinary) after hospitalization for HF was published in 2005, and found mixed and inconclusive results for all three (Cochrane Database Syst. Rev. 2005 8;(2):CD002752).

Since then, several new clinical trials have been performed, and "there is now strong evidence that case-management interventions are associated with a substantial, statistically significant reduction in all-cause mortality" as well as HF mortality and rehospitalization, said Dr. Andrea Takeda of Queen Mary University, London, and her associates in the Cochrane Collaboration.

In contrast, the evidence doesn’t support interventions in which the major component is follow-up in a hospital HF clinic. And the evidence for multidisciplinary interventions is too sparse to be conclusive because only two high-quality studies have examined these approaches, the investigators wrote (Cochrane Database of Systematic Reviews 2012 [doi:101002/14651858.CD002752.pub3]).

Case-management programs led by personnel other than nurses specializing in HF, such as hospital-based or community pharmacists, nonspecialist nurses, or interdisciplinary teams, were not as successful as those led by specialist nurses, they added.

Dr. Takeda and her colleagues reviewed 25 randomized clinical trials of at least 6 months’ duration that compared the three types of interventions against usual care in 5,942 adults who had been hospitalized for HF. They excluded interventions that focused on patient education only, exercise only, telemedicine (which was examined in a separate Cochrane Review), or cardiac rehabilitation.

Most of the clinical trials had 100-350 study subjects, but some had fewer than 100 and one had over 1,000 subjects. They were conducted in Europe, the United States, Canada, Australia, and China.

Seventeen studies assessed case-management interventions. Pooling the results demonstrated that these interventions produced a substantial and highly significant reduction in all-cause mortality, HF-related mortality, and HF-related rehospitalization at 12 months. Although the overall impact of the interventions on inpatient days was "not clear," the researchers wrote, there was "a strong suggestion" that these interventions decreased hospital length of stay.

However, case-management interventions did not appear to improve event-free survival. They also did not appear to improve health-related quality of life, but few studies examined this outcome and those that did suffered from high dropout rates, so the data were inconclusive.

Only six clinical trials involving 1,486 patients assessed clinic-based interventions. They showed no reduction in readmissions, mortality, inpatient days, event-free survival, or health-related quality of life.

Only two clinical trials involving 403 patients assessed multidisciplinary programs. The data were inadequate to establish conclusive results, Dr. Takeda and her associates wrote.

In a post hoc analysis, the intensity of various interventions did not appear to influence their effectiveness. Studies of the most intensive, moderately intensive, and low-intensity interventions all showed some reductions in mortality and rehospitalization, the researchers added.

No financial conflicts of interest were reported.

Publications
Publications
Topics
Article Type
Display Headline
Nurse-Led Case Management Cuts HF Readmissions, Mortality
Display Headline
Nurse-Led Case Management Cuts HF Readmissions, Mortality
Legacy Keywords
heart failure, hospital readmission, Cochrane Database of Systematic Reviews, Dr. Andrea Takeda
Legacy Keywords
heart failure, hospital readmission, Cochrane Database of Systematic Reviews, Dr. Andrea Takeda
Article Source

FROM THE COCHRANE COLLABORATION

PURLs Copyright

Inside the Article

Vitals

Major Finding: Case-management interventions led by a specialist nurse produced a substantial and highly significant reduction in all-cause mortality, HF-mortality, an HF readmissions at 12 months.

Data Source: Results were taken from a systematic review of the literature and meta-analysis of 25 randomized clinical trials involving 5,942 adults previously hospitalized for HF, which compared the effectiveness of various follow-up interventions in reducing HF mortality, HF readmissions, and all-cause mortality.

Disclosures: No financial conflicts of interest were reported.

Updated Guidelines Change Use of Cardiac Resynchronization Therapy

Article Type
Changed
Display Headline
Updated Guidelines Change Use of Cardiac Resynchronization Therapy

Updated guidelines on device-based treatment for cardiac rhythm abnormalities include several changes in the use of cardiac resynchronization therapy, according to a report issued jointly by the American College of Cardiology Foundation, the American Heart Association, and the Heart Rhythm Society and published online Sept. 10 in Circulation.

The most significant changes are the expanded use of cardiac resynchronization therapy (CRT) to include patients with mild heart failure (New York Heart Association class II) and to patients with particular ECG abnormalities indicating irregular, slow rhythms, said Dr. Cynthia M. Tracy, chair of the guideline writing group and director of electrophysiology at George Washington University, Washington, and her associates.

Elencwajg, B. The Jurdham Procedure (Heart Rhythm 2012 July 14)
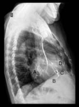
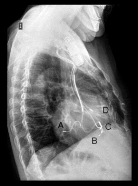
This left lateral view shows the final position of a CRT-defibrillator implant in a patient with a previous implanted RV lead. All the leads are in place and the device connected. A: Left ventricle lead pointing posteriorly. B: Right ventricle ICD lead. C: Previous rigtht ventricle lead. D: Right atrium lead.

"These are patients who had previously been excluded from receiving CRT, but studies have shown they can benefit from this procedure. It can really improve their lives by delaying or avoiding worsening heart failure," she said in a press statement accompanying the update.

The guidelines also now reflect the "growing evidence that patients with the widest, most abnormal–looking ECG potentially benefit most, compared with patients whose ECG is less abnormal." In particular, patients with left bundle branch block and a QRS duration of 150 milliseconds or more appear to benefit greatly from CRT, she noted.

The updated guidelines are also being published in the Journal of the American College of Cardiology and Heart Rhythm. They were developed in collaboration with the American Association for Thoracic Surgery, the Heart Failure Society of America, and the Society of Thoracic Surgeons.

The original guidelines on devise-based treatment of cardiac rhythm abnormalities were issued in 2008. The updated guidelines "extend and clarify current best practices and will continue to evolve as technology advances," Dr. Tracy added.

In the updated guidelines, the class I recommendations for CRT have been expanded to include patients with milder heart failure. But these, as with all other class I recommendations, are limited to those with left bundle branch block and a QRS of 150 milliseconds or more. In addition, a class IIb recommendation for CRT has been added for patients with aleft ventricular ejection fraction (LVEF) of 30% or less, an ischemic etiology of their heart failure (HF), sinus rhythm, left bundle branch block with a QRS duration of 150 milliseconds or more, and functionally mild HF, Dr. Tracy and her colleagues said (Circulation 2012 Sept. 10 [doi:10.1161/CIR.0b013e3182618569]).

Regarding terminal care, the recommendations "on management of cardiovascular implantable electronic devices in patients nearing the end of life or requesting withdrawal of therapy were expanded upon ... in an effort to provide guidance to caregivers dealing with this increasingly prevalent and difficult issue," according to the update.

This change was prompted by the observation that more such patients are surviving longer – long enough to develop comorbid conditions such as dementia or malignancy, which may take precedence over their rhythm abnormality.

Remote follow-up and monitoring of cardiovascular implantable electronic devices – including pacemakers, implantable cardioverter defibrillators, CRTs, implantable loop recorders, and implantable cardiovascular monitors – also has changed dramatically since the 2008 guidelines were formulated. "The standard approach was routine in-person office follow-up supplemented by transtelephonic monitoring with limited remote follow-up," but that approach is now considered "dated."

In contrast, "contemporary remote monitoring uses bidirectional telemetry with encoded and encrypted radiofrequency signals, allowing transmission and receipt of information from [these devices]." Many devices use wireless cellular technology to extend telemetry links to wherever the patient is located and to allow clinicians to access the data through the Internet. Almost all of the information that could be obtained in an in-office visit now is available remotely, including battery voltage, ICD charge time, percent pacing, sensing thresholds, automatically measured pacing thresholds, pacing and shock impedance, and stored arrhythmia events with ECGs, Dr. Tracy and her colleagues said.

No changes have been made in guideline recommendations regarding ICD implantation for arrhythmogenic right ventricular dysplasia/cardiomyopathy, asymptomatic genetic arrhythmia syndromes, primary prevention of sudden cardiac death in patients with congenital heart disease and advanced ventricular dysfunction, idiopathic ventricular fibrillation, short QT syndrome, Brugada syndrome, or catecholaminergic polymorphic ventricular tachycardia.

The full text of the update guidelines is available on the websites of the American College of Cardiology, the American Heart Association, and the Heart Rhythm Society.

 

 

Writing group members are required to recuse themselves from voting on sections to which their specific relationships with industry and other entities may apply.

Author and Disclosure Information

Publications
Topics
Legacy Keywords
cardiac rhythm abnormalities, cardiac resynchronization therapy, cardiac guidelines, heart guidelines, mild heart failure
Author and Disclosure Information

Author and Disclosure Information

Updated guidelines on device-based treatment for cardiac rhythm abnormalities include several changes in the use of cardiac resynchronization therapy, according to a report issued jointly by the American College of Cardiology Foundation, the American Heart Association, and the Heart Rhythm Society and published online Sept. 10 in Circulation.

The most significant changes are the expanded use of cardiac resynchronization therapy (CRT) to include patients with mild heart failure (New York Heart Association class II) and to patients with particular ECG abnormalities indicating irregular, slow rhythms, said Dr. Cynthia M. Tracy, chair of the guideline writing group and director of electrophysiology at George Washington University, Washington, and her associates.

Elencwajg, B. The Jurdham Procedure (Heart Rhythm 2012 July 14)
This left lateral view shows the final position of a CRT-defibrillator implant in a patient with a previous implanted RV lead. All the leads are in place and the device connected. A: Left ventricle lead pointing posteriorly. B: Right ventricle ICD lead. C: Previous rigtht ventricle lead. D: Right atrium lead.

"These are patients who had previously been excluded from receiving CRT, but studies have shown they can benefit from this procedure. It can really improve their lives by delaying or avoiding worsening heart failure," she said in a press statement accompanying the update.

The guidelines also now reflect the "growing evidence that patients with the widest, most abnormal–looking ECG potentially benefit most, compared with patients whose ECG is less abnormal." In particular, patients with left bundle branch block and a QRS duration of 150 milliseconds or more appear to benefit greatly from CRT, she noted.

The updated guidelines are also being published in the Journal of the American College of Cardiology and Heart Rhythm. They were developed in collaboration with the American Association for Thoracic Surgery, the Heart Failure Society of America, and the Society of Thoracic Surgeons.

The original guidelines on devise-based treatment of cardiac rhythm abnormalities were issued in 2008. The updated guidelines "extend and clarify current best practices and will continue to evolve as technology advances," Dr. Tracy added.

In the updated guidelines, the class I recommendations for CRT have been expanded to include patients with milder heart failure. But these, as with all other class I recommendations, are limited to those with left bundle branch block and a QRS of 150 milliseconds or more. In addition, a class IIb recommendation for CRT has been added for patients with aleft ventricular ejection fraction (LVEF) of 30% or less, an ischemic etiology of their heart failure (HF), sinus rhythm, left bundle branch block with a QRS duration of 150 milliseconds or more, and functionally mild HF, Dr. Tracy and her colleagues said (Circulation 2012 Sept. 10 [doi:10.1161/CIR.0b013e3182618569]).

Regarding terminal care, the recommendations "on management of cardiovascular implantable electronic devices in patients nearing the end of life or requesting withdrawal of therapy were expanded upon ... in an effort to provide guidance to caregivers dealing with this increasingly prevalent and difficult issue," according to the update.

This change was prompted by the observation that more such patients are surviving longer – long enough to develop comorbid conditions such as dementia or malignancy, which may take precedence over their rhythm abnormality.

Remote follow-up and monitoring of cardiovascular implantable electronic devices – including pacemakers, implantable cardioverter defibrillators, CRTs, implantable loop recorders, and implantable cardiovascular monitors – also has changed dramatically since the 2008 guidelines were formulated. "The standard approach was routine in-person office follow-up supplemented by transtelephonic monitoring with limited remote follow-up," but that approach is now considered "dated."

In contrast, "contemporary remote monitoring uses bidirectional telemetry with encoded and encrypted radiofrequency signals, allowing transmission and receipt of information from [these devices]." Many devices use wireless cellular technology to extend telemetry links to wherever the patient is located and to allow clinicians to access the data through the Internet. Almost all of the information that could be obtained in an in-office visit now is available remotely, including battery voltage, ICD charge time, percent pacing, sensing thresholds, automatically measured pacing thresholds, pacing and shock impedance, and stored arrhythmia events with ECGs, Dr. Tracy and her colleagues said.

No changes have been made in guideline recommendations regarding ICD implantation for arrhythmogenic right ventricular dysplasia/cardiomyopathy, asymptomatic genetic arrhythmia syndromes, primary prevention of sudden cardiac death in patients with congenital heart disease and advanced ventricular dysfunction, idiopathic ventricular fibrillation, short QT syndrome, Brugada syndrome, or catecholaminergic polymorphic ventricular tachycardia.

The full text of the update guidelines is available on the websites of the American College of Cardiology, the American Heart Association, and the Heart Rhythm Society.

 

 

Writing group members are required to recuse themselves from voting on sections to which their specific relationships with industry and other entities may apply.

Updated guidelines on device-based treatment for cardiac rhythm abnormalities include several changes in the use of cardiac resynchronization therapy, according to a report issued jointly by the American College of Cardiology Foundation, the American Heart Association, and the Heart Rhythm Society and published online Sept. 10 in Circulation.

The most significant changes are the expanded use of cardiac resynchronization therapy (CRT) to include patients with mild heart failure (New York Heart Association class II) and to patients with particular ECG abnormalities indicating irregular, slow rhythms, said Dr. Cynthia M. Tracy, chair of the guideline writing group and director of electrophysiology at George Washington University, Washington, and her associates.

Elencwajg, B. The Jurdham Procedure (Heart Rhythm 2012 July 14)
This left lateral view shows the final position of a CRT-defibrillator implant in a patient with a previous implanted RV lead. All the leads are in place and the device connected. A: Left ventricle lead pointing posteriorly. B: Right ventricle ICD lead. C: Previous rigtht ventricle lead. D: Right atrium lead.

"These are patients who had previously been excluded from receiving CRT, but studies have shown they can benefit from this procedure. It can really improve their lives by delaying or avoiding worsening heart failure," she said in a press statement accompanying the update.

The guidelines also now reflect the "growing evidence that patients with the widest, most abnormal–looking ECG potentially benefit most, compared with patients whose ECG is less abnormal." In particular, patients with left bundle branch block and a QRS duration of 150 milliseconds or more appear to benefit greatly from CRT, she noted.

The updated guidelines are also being published in the Journal of the American College of Cardiology and Heart Rhythm. They were developed in collaboration with the American Association for Thoracic Surgery, the Heart Failure Society of America, and the Society of Thoracic Surgeons.

The original guidelines on devise-based treatment of cardiac rhythm abnormalities were issued in 2008. The updated guidelines "extend and clarify current best practices and will continue to evolve as technology advances," Dr. Tracy added.

In the updated guidelines, the class I recommendations for CRT have been expanded to include patients with milder heart failure. But these, as with all other class I recommendations, are limited to those with left bundle branch block and a QRS of 150 milliseconds or more. In addition, a class IIb recommendation for CRT has been added for patients with aleft ventricular ejection fraction (LVEF) of 30% or less, an ischemic etiology of their heart failure (HF), sinus rhythm, left bundle branch block with a QRS duration of 150 milliseconds or more, and functionally mild HF, Dr. Tracy and her colleagues said (Circulation 2012 Sept. 10 [doi:10.1161/CIR.0b013e3182618569]).

Regarding terminal care, the recommendations "on management of cardiovascular implantable electronic devices in patients nearing the end of life or requesting withdrawal of therapy were expanded upon ... in an effort to provide guidance to caregivers dealing with this increasingly prevalent and difficult issue," according to the update.

This change was prompted by the observation that more such patients are surviving longer – long enough to develop comorbid conditions such as dementia or malignancy, which may take precedence over their rhythm abnormality.

Remote follow-up and monitoring of cardiovascular implantable electronic devices – including pacemakers, implantable cardioverter defibrillators, CRTs, implantable loop recorders, and implantable cardiovascular monitors – also has changed dramatically since the 2008 guidelines were formulated. "The standard approach was routine in-person office follow-up supplemented by transtelephonic monitoring with limited remote follow-up," but that approach is now considered "dated."

In contrast, "contemporary remote monitoring uses bidirectional telemetry with encoded and encrypted radiofrequency signals, allowing transmission and receipt of information from [these devices]." Many devices use wireless cellular technology to extend telemetry links to wherever the patient is located and to allow clinicians to access the data through the Internet. Almost all of the information that could be obtained in an in-office visit now is available remotely, including battery voltage, ICD charge time, percent pacing, sensing thresholds, automatically measured pacing thresholds, pacing and shock impedance, and stored arrhythmia events with ECGs, Dr. Tracy and her colleagues said.

No changes have been made in guideline recommendations regarding ICD implantation for arrhythmogenic right ventricular dysplasia/cardiomyopathy, asymptomatic genetic arrhythmia syndromes, primary prevention of sudden cardiac death in patients with congenital heart disease and advanced ventricular dysfunction, idiopathic ventricular fibrillation, short QT syndrome, Brugada syndrome, or catecholaminergic polymorphic ventricular tachycardia.

The full text of the update guidelines is available on the websites of the American College of Cardiology, the American Heart Association, and the Heart Rhythm Society.

 

 

Writing group members are required to recuse themselves from voting on sections to which their specific relationships with industry and other entities may apply.

Publications
Publications
Topics
Article Type
Display Headline
Updated Guidelines Change Use of Cardiac Resynchronization Therapy
Display Headline
Updated Guidelines Change Use of Cardiac Resynchronization Therapy
Legacy Keywords
cardiac rhythm abnormalities, cardiac resynchronization therapy, cardiac guidelines, heart guidelines, mild heart failure
Legacy Keywords
cardiac rhythm abnormalities, cardiac resynchronization therapy, cardiac guidelines, heart guidelines, mild heart failure
Article Source

FROM CIRCULATION

PURLs Copyright

Inside the Article

Vitals

Major Finding: Cardiac resynchronization therapy should be considered in patients with mild heart failure, an LVEF of 30% or less, left bundle branch block, and a QRS duration of 150 milliseconds or more.

Data Source: Updated guidelines on device-based treatment for cardiac rhythm abnormalities are based on new evidence accrued since the original guidelines were issued in 2008.

Disclosures: The update was issued by the American College of Cardiology Foundation, the American Heart Association, and the Heart Rhythm Society in collaboration with the American Association for Thoracic Surgery, the Heart Failure Society of America, and the Society of Thoracic Surgeons. Writing group members are required to recuse themselves from voting on sections to which their specific relationships with industry and other entities may apply.

More Survival, No Neurologic Loss Seen With Longer In-Hospital CPR

Try a Little Longer
Article Type
Changed
Display Headline
More Survival, No Neurologic Loss Seen With Longer In-Hospital CPR

Systematically lengthening the duration of resuscitation efforts for patients who have in-hospital cardiac arrests could improve survival with no adverse impact on neurological status, according to researchers.

In a study of 64,339 patients who had in-hospital cardiac arrests at 435 U.S. hospitals over an 8-year period, this survival benefit was independent of numerous patient factors, wrote Dr. Zachary D. Goldberger of the division of cardiovascular medicine, University of Michigan, Ann Arbor, and his associates. The report was published Sept. 4 in The Lancet.

Importantly, they wrote, neurologic status was not affected by the duration of resuscitation efforts, so patients revived after relatively long CPR attempts of 30 minutes or more were as neurologically intact as were those revived after brief attempts of less than 15 minutes.

"Our most notable result was that long resuscitation attempts might be linked to increased rates of return of spontaneous circulation and survival to discharge," they said.

At present, resuscitation guidelines do not address the issue of when to terminate such efforts, and there are not enough data available to guide practice. "Clinicians are frequently reluctant to continue efforts when return of spontaneous circulation does not occur shortly after initiation of resuscitation, in view of the overall poor prognosis for such patients," the researchers noted.

They examined the issue using information from the Get With The Guidelines?Resuscitation database, the largest registry of in-hospital cardiac arrests in the world. A total of 31,198 patients (48.5%) achieved return of spontaneous circulation, while 33,141 (51.5%) died after termination of resuscitation efforts.

Approximately 80% of patients who survived to hospital discharge had favorable neurologic status. The rate of favorable status did not differ significantly by duration of resuscitation: It was 81.2% for patients in whom resuscitation attempts lasted less than 15 minutes, 80.0% for those in whom resuscitation attempts lasted 15-30 minutes, and 78.4% for those in whom resuscitation attempts lasted longer than 30 minutes.

As expected when there is no consensus on the appropriate duration of resuscitation attempts, the investigators found wide variation among hospitals in this practice.

Overall, the median duration of resuscitation efforts was 17 minutes. When the hospitals were divided into quartiles based on this duration, those in the quartile with the shortest interval had a median duration of 16 minutes, while those in the quartile with the longest interval had a median duration of 25 minutes.

Resuscitation efforts lasted more than 50% longer at hospitals in the longest quartile compared with those in the shortest quartile.

Patients at the hospitals with longer durations of resuscitation efforts had significantly higher overall survival and significantly higher survival to hospital discharge than did those at hospitals with shorter durations of resuscitation efforts, Dr. Goldberger and his colleagues said (Lancet 2012 Sept. 4 [doi:10.1016/S0140-6736(12)60862-9]).

The study findings suggest that standardizing resuscitation procedures and identifying a minimum duration could improve patient survival. "Prolongation of resuscitation attempts by 10 or 15 minutes might have only a slight effect on resources once efforts have already begun, but could improve outcomes," the investigators noted.

"We are unable to provide a specific cutoff from these data and are hesitant to speculate," especially because this was an observational study that cannot establish cause and effect. Moreover, several variables that almost certainly affected the duration of resuscitation efforts were not addressed in this study, such as the quality of chest compressions and the availability at each hospital of percutaneous intervention.

It is even possible that the duration of resuscitation attempts is merely a marker for "more comprehensive care" with longer CPR performed at centers where resuscitation guidelines are reliably implemented, they added.

It should also be noted that this study did not address long-term outcomes in survivors of resuscitation. "The extent to which critically ill patients benefit from survival months to years after cardiac arrest should be the ultimate measure of the usefulness of resuscitation measures," Dr. Goldberger and his associates said.

This study was funded by the American Heart Association, the Robert Wood Johnson Foundation, and the National Heart, Lung, and Blood Institute. Dr. Goldberger reported no financial conflicts of interest, and one of his associates reported ties to Medtronic and United Health Care.

References

Body

The findings of Dr. Goldberger and colleagues should reassure clinicians that prolonged resuscitation efforts "do not seem to result in a substantial increase in severe neurological injury in survivors," said Dr. Jerry P. Nolan and Dr. Jasmeet Soar.

All hospitals should monitor their cardiac arrests to improve their quality of care. "If the cause of a cardiac arrest is potentially reversible, it might be worthwhile to try [resuscitation] for a little longer," they said.

Dr. Nolan is at the Royal United Hospital NHS Trust in Bath, England, and is editor-in-chief of the journal Resuscitation. Dr. Soar is at Southmead Hospital North Bristol NHS Trust in Bristol, England, and is an editor at the journal Resuscitation. They reported no financial conflicts of interest. These remarks were taken from their editorial comment accompanying Dr. Goldberger?s report (Lancet 2012 Sept. 4 [doi:10.1016/S0140-6736(12)61182-9]).

Author and Disclosure Information

Publications
Topics
Author and Disclosure Information

Author and Disclosure Information

Body

The findings of Dr. Goldberger and colleagues should reassure clinicians that prolonged resuscitation efforts "do not seem to result in a substantial increase in severe neurological injury in survivors," said Dr. Jerry P. Nolan and Dr. Jasmeet Soar.

All hospitals should monitor their cardiac arrests to improve their quality of care. "If the cause of a cardiac arrest is potentially reversible, it might be worthwhile to try [resuscitation] for a little longer," they said.

Dr. Nolan is at the Royal United Hospital NHS Trust in Bath, England, and is editor-in-chief of the journal Resuscitation. Dr. Soar is at Southmead Hospital North Bristol NHS Trust in Bristol, England, and is an editor at the journal Resuscitation. They reported no financial conflicts of interest. These remarks were taken from their editorial comment accompanying Dr. Goldberger?s report (Lancet 2012 Sept. 4 [doi:10.1016/S0140-6736(12)61182-9]).

Body

The findings of Dr. Goldberger and colleagues should reassure clinicians that prolonged resuscitation efforts "do not seem to result in a substantial increase in severe neurological injury in survivors," said Dr. Jerry P. Nolan and Dr. Jasmeet Soar.

All hospitals should monitor their cardiac arrests to improve their quality of care. "If the cause of a cardiac arrest is potentially reversible, it might be worthwhile to try [resuscitation] for a little longer," they said.

Dr. Nolan is at the Royal United Hospital NHS Trust in Bath, England, and is editor-in-chief of the journal Resuscitation. Dr. Soar is at Southmead Hospital North Bristol NHS Trust in Bristol, England, and is an editor at the journal Resuscitation. They reported no financial conflicts of interest. These remarks were taken from their editorial comment accompanying Dr. Goldberger?s report (Lancet 2012 Sept. 4 [doi:10.1016/S0140-6736(12)61182-9]).

Title
Try a Little Longer
Try a Little Longer

Systematically lengthening the duration of resuscitation efforts for patients who have in-hospital cardiac arrests could improve survival with no adverse impact on neurological status, according to researchers.

In a study of 64,339 patients who had in-hospital cardiac arrests at 435 U.S. hospitals over an 8-year period, this survival benefit was independent of numerous patient factors, wrote Dr. Zachary D. Goldberger of the division of cardiovascular medicine, University of Michigan, Ann Arbor, and his associates. The report was published Sept. 4 in The Lancet.

Importantly, they wrote, neurologic status was not affected by the duration of resuscitation efforts, so patients revived after relatively long CPR attempts of 30 minutes or more were as neurologically intact as were those revived after brief attempts of less than 15 minutes.

"Our most notable result was that long resuscitation attempts might be linked to increased rates of return of spontaneous circulation and survival to discharge," they said.

At present, resuscitation guidelines do not address the issue of when to terminate such efforts, and there are not enough data available to guide practice. "Clinicians are frequently reluctant to continue efforts when return of spontaneous circulation does not occur shortly after initiation of resuscitation, in view of the overall poor prognosis for such patients," the researchers noted.

They examined the issue using information from the Get With The Guidelines?Resuscitation database, the largest registry of in-hospital cardiac arrests in the world. A total of 31,198 patients (48.5%) achieved return of spontaneous circulation, while 33,141 (51.5%) died after termination of resuscitation efforts.

Approximately 80% of patients who survived to hospital discharge had favorable neurologic status. The rate of favorable status did not differ significantly by duration of resuscitation: It was 81.2% for patients in whom resuscitation attempts lasted less than 15 minutes, 80.0% for those in whom resuscitation attempts lasted 15-30 minutes, and 78.4% for those in whom resuscitation attempts lasted longer than 30 minutes.

As expected when there is no consensus on the appropriate duration of resuscitation attempts, the investigators found wide variation among hospitals in this practice.

Overall, the median duration of resuscitation efforts was 17 minutes. When the hospitals were divided into quartiles based on this duration, those in the quartile with the shortest interval had a median duration of 16 minutes, while those in the quartile with the longest interval had a median duration of 25 minutes.

Resuscitation efforts lasted more than 50% longer at hospitals in the longest quartile compared with those in the shortest quartile.

Patients at the hospitals with longer durations of resuscitation efforts had significantly higher overall survival and significantly higher survival to hospital discharge than did those at hospitals with shorter durations of resuscitation efforts, Dr. Goldberger and his colleagues said (Lancet 2012 Sept. 4 [doi:10.1016/S0140-6736(12)60862-9]).

The study findings suggest that standardizing resuscitation procedures and identifying a minimum duration could improve patient survival. "Prolongation of resuscitation attempts by 10 or 15 minutes might have only a slight effect on resources once efforts have already begun, but could improve outcomes," the investigators noted.

"We are unable to provide a specific cutoff from these data and are hesitant to speculate," especially because this was an observational study that cannot establish cause and effect. Moreover, several variables that almost certainly affected the duration of resuscitation efforts were not addressed in this study, such as the quality of chest compressions and the availability at each hospital of percutaneous intervention.

It is even possible that the duration of resuscitation attempts is merely a marker for "more comprehensive care" with longer CPR performed at centers where resuscitation guidelines are reliably implemented, they added.

It should also be noted that this study did not address long-term outcomes in survivors of resuscitation. "The extent to which critically ill patients benefit from survival months to years after cardiac arrest should be the ultimate measure of the usefulness of resuscitation measures," Dr. Goldberger and his associates said.

This study was funded by the American Heart Association, the Robert Wood Johnson Foundation, and the National Heart, Lung, and Blood Institute. Dr. Goldberger reported no financial conflicts of interest, and one of his associates reported ties to Medtronic and United Health Care.

Systematically lengthening the duration of resuscitation efforts for patients who have in-hospital cardiac arrests could improve survival with no adverse impact on neurological status, according to researchers.

In a study of 64,339 patients who had in-hospital cardiac arrests at 435 U.S. hospitals over an 8-year period, this survival benefit was independent of numerous patient factors, wrote Dr. Zachary D. Goldberger of the division of cardiovascular medicine, University of Michigan, Ann Arbor, and his associates. The report was published Sept. 4 in The Lancet.

Importantly, they wrote, neurologic status was not affected by the duration of resuscitation efforts, so patients revived after relatively long CPR attempts of 30 minutes or more were as neurologically intact as were those revived after brief attempts of less than 15 minutes.

"Our most notable result was that long resuscitation attempts might be linked to increased rates of return of spontaneous circulation and survival to discharge," they said.

At present, resuscitation guidelines do not address the issue of when to terminate such efforts, and there are not enough data available to guide practice. "Clinicians are frequently reluctant to continue efforts when return of spontaneous circulation does not occur shortly after initiation of resuscitation, in view of the overall poor prognosis for such patients," the researchers noted.

They examined the issue using information from the Get With The Guidelines?Resuscitation database, the largest registry of in-hospital cardiac arrests in the world. A total of 31,198 patients (48.5%) achieved return of spontaneous circulation, while 33,141 (51.5%) died after termination of resuscitation efforts.

Approximately 80% of patients who survived to hospital discharge had favorable neurologic status. The rate of favorable status did not differ significantly by duration of resuscitation: It was 81.2% for patients in whom resuscitation attempts lasted less than 15 minutes, 80.0% for those in whom resuscitation attempts lasted 15-30 minutes, and 78.4% for those in whom resuscitation attempts lasted longer than 30 minutes.

As expected when there is no consensus on the appropriate duration of resuscitation attempts, the investigators found wide variation among hospitals in this practice.

Overall, the median duration of resuscitation efforts was 17 minutes. When the hospitals were divided into quartiles based on this duration, those in the quartile with the shortest interval had a median duration of 16 minutes, while those in the quartile with the longest interval had a median duration of 25 minutes.

Resuscitation efforts lasted more than 50% longer at hospitals in the longest quartile compared with those in the shortest quartile.

Patients at the hospitals with longer durations of resuscitation efforts had significantly higher overall survival and significantly higher survival to hospital discharge than did those at hospitals with shorter durations of resuscitation efforts, Dr. Goldberger and his colleagues said (Lancet 2012 Sept. 4 [doi:10.1016/S0140-6736(12)60862-9]).

The study findings suggest that standardizing resuscitation procedures and identifying a minimum duration could improve patient survival. "Prolongation of resuscitation attempts by 10 or 15 minutes might have only a slight effect on resources once efforts have already begun, but could improve outcomes," the investigators noted.

"We are unable to provide a specific cutoff from these data and are hesitant to speculate," especially because this was an observational study that cannot establish cause and effect. Moreover, several variables that almost certainly affected the duration of resuscitation efforts were not addressed in this study, such as the quality of chest compressions and the availability at each hospital of percutaneous intervention.

It is even possible that the duration of resuscitation attempts is merely a marker for "more comprehensive care" with longer CPR performed at centers where resuscitation guidelines are reliably implemented, they added.

It should also be noted that this study did not address long-term outcomes in survivors of resuscitation. "The extent to which critically ill patients benefit from survival months to years after cardiac arrest should be the ultimate measure of the usefulness of resuscitation measures," Dr. Goldberger and his associates said.

This study was funded by the American Heart Association, the Robert Wood Johnson Foundation, and the National Heart, Lung, and Blood Institute. Dr. Goldberger reported no financial conflicts of interest, and one of his associates reported ties to Medtronic and United Health Care.

References

References

Publications
Publications
Topics
Article Type
Display Headline
More Survival, No Neurologic Loss Seen With Longer In-Hospital CPR
Display Headline
More Survival, No Neurologic Loss Seen With Longer In-Hospital CPR
Article Source

FROM THE LANCET

PURLs Copyright

Inside the Article

Vitals

Major Finding: The rate of favorable neurologic status was 81.2% for patients in whom resuscitation attempts lasted less than 15 minutes, 80.0% with 15-30-minute attempts, and 78.4% with attempts lasting over 30 minutes.

Data Source: An observational analysis of survival outcomes in 64,339 patients who survived in-hospital cardiac arrest at 435 U.S. hospitals during 2000-2008.

Disclosures: This study was funded by the American Heart Association, the Robert Wood Johnson Foundation, and the National Heart, Lung, and Blood Institute. Dr. Goldberger reported no financial conflicts of interest, and one of his associates reported ties to Medtronic and United Health Care.

More Survival, No Neurologic Loss Seen With Longer In-Hospital CPR

Try a Little Longer
Article Type
Changed
Display Headline
More Survival, No Neurologic Loss Seen With Longer In-Hospital CPR

Systematically lengthening the duration of resuscitation efforts for patients who have in-hospital cardiac arrests could improve survival with no adverse impact on neurological status, according to researchers.

In a study of 64,339 patients who had in-hospital cardiac arrests at 435 U.S. hospitals over an 8-year period, this survival benefit was independent of numerous patient factors, wrote Dr. Zachary D. Goldberger of the division of cardiovascular medicine, University of Michigan, Ann Arbor, and his associates. The report was published Sept. 4 in The Lancet.

Importantly, they wrote, neurologic status was not affected by the duration of resuscitation efforts, so patients revived after relatively long CPR attempts of 30 minutes or more were as neurologically intact as were those revived after brief attempts of less than 15 minutes.

"Our most notable result was that long resuscitation attempts might be linked to increased rates of return of spontaneous circulation and survival to discharge," they said.

At present, resuscitation guidelines do not address the issue of when to terminate such efforts, and there are not enough data available to guide practice. "Clinicians are frequently reluctant to continue efforts when return of spontaneous circulation does not occur shortly after initiation of resuscitation, in view of the overall poor prognosis for such patients," the researchers noted.

They examined the issue using information from the Get With The Guidelines?Resuscitation database, the largest registry of in-hospital cardiac arrests in the world. A total of 31,198 patients (48.5%) achieved return of spontaneous circulation, while 33,141 (51.5%) died after termination of resuscitation efforts.

Approximately 80% of patients who survived to hospital discharge had favorable neurologic status. The rate of favorable status did not differ significantly by duration of resuscitation: It was 81.2% for patients in whom resuscitation attempts lasted less than 15 minutes, 80.0% for those in whom resuscitation attempts lasted 15-30 minutes, and 78.4% for those in whom resuscitation attempts lasted longer than 30 minutes.

As expected when there is no consensus on the appropriate duration of resuscitation attempts, the investigators found wide variation among hospitals in this practice.

Overall, the median duration of resuscitation efforts was 17 minutes. When the hospitals were divided into quartiles based on this duration, those in the quartile with the shortest interval had a median duration of 16 minutes, while those in the quartile with the longest interval had a median duration of 25 minutes.

Resuscitation efforts lasted more than 50% longer at hospitals in the longest quartile compared with those in the shortest quartile.

Patients at the hospitals with longer durations of resuscitation efforts had significantly higher overall survival and significantly higher survival to hospital discharge than did those at hospitals with shorter durations of resuscitation efforts, Dr. Goldberger and his colleagues said (Lancet 2012 Sept. 4 [doi:10.1016/S0140-6736(12)60862-9]).

The study findings suggest that standardizing resuscitation procedures and identifying a minimum duration could improve patient survival. "Prolongation of resuscitation attempts by 10 or 15 minutes might have only a slight effect on resources once efforts have already begun, but could improve outcomes," the investigators noted.

"We are unable to provide a specific cutoff from these data and are hesitant to speculate," especially because this was an observational study that cannot establish cause and effect. Moreover, several variables that almost certainly affected the duration of resuscitation efforts were not addressed in this study, such as the quality of chest compressions and the availability at each hospital of percutaneous intervention.

It is even possible that the duration of resuscitation attempts is merely a marker for "more comprehensive care" with longer CPR performed at centers where resuscitation guidelines are reliably implemented, they added.

It should also be noted that this study did not address long-term outcomes in survivors of resuscitation. "The extent to which critically ill patients benefit from survival months to years after cardiac arrest should be the ultimate measure of the usefulness of resuscitation measures," Dr. Goldberger and his associates said.

This study was funded by the American Heart Association, the Robert Wood Johnson Foundation, and the National Heart, Lung, and Blood Institute. Dr. Goldberger reported no financial conflicts of interest, and one of his associates reported ties to Medtronic and United Health Care.

References

Body

The findings of Dr. Goldberger and colleagues should reassure clinicians that prolonged resuscitation efforts "do not seem to result in a substantial increase in severe neurological injury in survivors," said Dr. Jerry P. Nolan and Dr. Jasmeet Soar.

All hospitals should monitor their cardiac arrests to improve their quality of care. "If the cause of a cardiac arrest is potentially reversible, it might be worthwhile to try [resuscitation] for a little longer," they said.

Dr. Nolan is at the Royal United Hospital NHS Trust in Bath, England, and is editor-in-chief of the journal Resuscitation. Dr. Soar is at Southmead Hospital North Bristol NHS Trust in Bristol, England, and is an editor at the journal Resuscitation. They reported no financial conflicts of interest. These remarks were taken from their editorial comment accompanying Dr. Goldberger?s report (Lancet 2012 Sept. 4 [doi:10.1016/S0140-6736(12)61182-9]).

Author and Disclosure Information

Publications
Topics
Author and Disclosure Information

Author and Disclosure Information

Body

The findings of Dr. Goldberger and colleagues should reassure clinicians that prolonged resuscitation efforts "do not seem to result in a substantial increase in severe neurological injury in survivors," said Dr. Jerry P. Nolan and Dr. Jasmeet Soar.

All hospitals should monitor their cardiac arrests to improve their quality of care. "If the cause of a cardiac arrest is potentially reversible, it might be worthwhile to try [resuscitation] for a little longer," they said.

Dr. Nolan is at the Royal United Hospital NHS Trust in Bath, England, and is editor-in-chief of the journal Resuscitation. Dr. Soar is at Southmead Hospital North Bristol NHS Trust in Bristol, England, and is an editor at the journal Resuscitation. They reported no financial conflicts of interest. These remarks were taken from their editorial comment accompanying Dr. Goldberger?s report (Lancet 2012 Sept. 4 [doi:10.1016/S0140-6736(12)61182-9]).

Body

The findings of Dr. Goldberger and colleagues should reassure clinicians that prolonged resuscitation efforts "do not seem to result in a substantial increase in severe neurological injury in survivors," said Dr. Jerry P. Nolan and Dr. Jasmeet Soar.

All hospitals should monitor their cardiac arrests to improve their quality of care. "If the cause of a cardiac arrest is potentially reversible, it might be worthwhile to try [resuscitation] for a little longer," they said.

Dr. Nolan is at the Royal United Hospital NHS Trust in Bath, England, and is editor-in-chief of the journal Resuscitation. Dr. Soar is at Southmead Hospital North Bristol NHS Trust in Bristol, England, and is an editor at the journal Resuscitation. They reported no financial conflicts of interest. These remarks were taken from their editorial comment accompanying Dr. Goldberger?s report (Lancet 2012 Sept. 4 [doi:10.1016/S0140-6736(12)61182-9]).

Title
Try a Little Longer
Try a Little Longer

Systematically lengthening the duration of resuscitation efforts for patients who have in-hospital cardiac arrests could improve survival with no adverse impact on neurological status, according to researchers.

In a study of 64,339 patients who had in-hospital cardiac arrests at 435 U.S. hospitals over an 8-year period, this survival benefit was independent of numerous patient factors, wrote Dr. Zachary D. Goldberger of the division of cardiovascular medicine, University of Michigan, Ann Arbor, and his associates. The report was published Sept. 4 in The Lancet.

Importantly, they wrote, neurologic status was not affected by the duration of resuscitation efforts, so patients revived after relatively long CPR attempts of 30 minutes or more were as neurologically intact as were those revived after brief attempts of less than 15 minutes.

"Our most notable result was that long resuscitation attempts might be linked to increased rates of return of spontaneous circulation and survival to discharge," they said.

At present, resuscitation guidelines do not address the issue of when to terminate such efforts, and there are not enough data available to guide practice. "Clinicians are frequently reluctant to continue efforts when return of spontaneous circulation does not occur shortly after initiation of resuscitation, in view of the overall poor prognosis for such patients," the researchers noted.

They examined the issue using information from the Get With The Guidelines?Resuscitation database, the largest registry of in-hospital cardiac arrests in the world. A total of 31,198 patients (48.5%) achieved return of spontaneous circulation, while 33,141 (51.5%) died after termination of resuscitation efforts.

Approximately 80% of patients who survived to hospital discharge had favorable neurologic status. The rate of favorable status did not differ significantly by duration of resuscitation: It was 81.2% for patients in whom resuscitation attempts lasted less than 15 minutes, 80.0% for those in whom resuscitation attempts lasted 15-30 minutes, and 78.4% for those in whom resuscitation attempts lasted longer than 30 minutes.

As expected when there is no consensus on the appropriate duration of resuscitation attempts, the investigators found wide variation among hospitals in this practice.

Overall, the median duration of resuscitation efforts was 17 minutes. When the hospitals were divided into quartiles based on this duration, those in the quartile with the shortest interval had a median duration of 16 minutes, while those in the quartile with the longest interval had a median duration of 25 minutes.

Resuscitation efforts lasted more than 50% longer at hospitals in the longest quartile compared with those in the shortest quartile.

Patients at the hospitals with longer durations of resuscitation efforts had significantly higher overall survival and significantly higher survival to hospital discharge than did those at hospitals with shorter durations of resuscitation efforts, Dr. Goldberger and his colleagues said (Lancet 2012 Sept. 4 [doi:10.1016/S0140-6736(12)60862-9]).

The study findings suggest that standardizing resuscitation procedures and identifying a minimum duration could improve patient survival. "Prolongation of resuscitation attempts by 10 or 15 minutes might have only a slight effect on resources once efforts have already begun, but could improve outcomes," the investigators noted.

"We are unable to provide a specific cutoff from these data and are hesitant to speculate," especially because this was an observational study that cannot establish cause and effect. Moreover, several variables that almost certainly affected the duration of resuscitation efforts were not addressed in this study, such as the quality of chest compressions and the availability at each hospital of percutaneous intervention.

It is even possible that the duration of resuscitation attempts is merely a marker for "more comprehensive care" with longer CPR performed at centers where resuscitation guidelines are reliably implemented, they added.

It should also be noted that this study did not address long-term outcomes in survivors of resuscitation. "The extent to which critically ill patients benefit from survival months to years after cardiac arrest should be the ultimate measure of the usefulness of resuscitation measures," Dr. Goldberger and his associates said.

This study was funded by the American Heart Association, the Robert Wood Johnson Foundation, and the National Heart, Lung, and Blood Institute. Dr. Goldberger reported no financial conflicts of interest, and one of his associates reported ties to Medtronic and United Health Care.

Systematically lengthening the duration of resuscitation efforts for patients who have in-hospital cardiac arrests could improve survival with no adverse impact on neurological status, according to researchers.

In a study of 64,339 patients who had in-hospital cardiac arrests at 435 U.S. hospitals over an 8-year period, this survival benefit was independent of numerous patient factors, wrote Dr. Zachary D. Goldberger of the division of cardiovascular medicine, University of Michigan, Ann Arbor, and his associates. The report was published Sept. 4 in The Lancet.

Importantly, they wrote, neurologic status was not affected by the duration of resuscitation efforts, so patients revived after relatively long CPR attempts of 30 minutes or more were as neurologically intact as were those revived after brief attempts of less than 15 minutes.

"Our most notable result was that long resuscitation attempts might be linked to increased rates of return of spontaneous circulation and survival to discharge," they said.

At present, resuscitation guidelines do not address the issue of when to terminate such efforts, and there are not enough data available to guide practice. "Clinicians are frequently reluctant to continue efforts when return of spontaneous circulation does not occur shortly after initiation of resuscitation, in view of the overall poor prognosis for such patients," the researchers noted.

They examined the issue using information from the Get With The Guidelines?Resuscitation database, the largest registry of in-hospital cardiac arrests in the world. A total of 31,198 patients (48.5%) achieved return of spontaneous circulation, while 33,141 (51.5%) died after termination of resuscitation efforts.

Approximately 80% of patients who survived to hospital discharge had favorable neurologic status. The rate of favorable status did not differ significantly by duration of resuscitation: It was 81.2% for patients in whom resuscitation attempts lasted less than 15 minutes, 80.0% for those in whom resuscitation attempts lasted 15-30 minutes, and 78.4% for those in whom resuscitation attempts lasted longer than 30 minutes.

As expected when there is no consensus on the appropriate duration of resuscitation attempts, the investigators found wide variation among hospitals in this practice.

Overall, the median duration of resuscitation efforts was 17 minutes. When the hospitals were divided into quartiles based on this duration, those in the quartile with the shortest interval had a median duration of 16 minutes, while those in the quartile with the longest interval had a median duration of 25 minutes.

Resuscitation efforts lasted more than 50% longer at hospitals in the longest quartile compared with those in the shortest quartile.

Patients at the hospitals with longer durations of resuscitation efforts had significantly higher overall survival and significantly higher survival to hospital discharge than did those at hospitals with shorter durations of resuscitation efforts, Dr. Goldberger and his colleagues said (Lancet 2012 Sept. 4 [doi:10.1016/S0140-6736(12)60862-9]).

The study findings suggest that standardizing resuscitation procedures and identifying a minimum duration could improve patient survival. "Prolongation of resuscitation attempts by 10 or 15 minutes might have only a slight effect on resources once efforts have already begun, but could improve outcomes," the investigators noted.

"We are unable to provide a specific cutoff from these data and are hesitant to speculate," especially because this was an observational study that cannot establish cause and effect. Moreover, several variables that almost certainly affected the duration of resuscitation efforts were not addressed in this study, such as the quality of chest compressions and the availability at each hospital of percutaneous intervention.

It is even possible that the duration of resuscitation attempts is merely a marker for "more comprehensive care" with longer CPR performed at centers where resuscitation guidelines are reliably implemented, they added.

It should also be noted that this study did not address long-term outcomes in survivors of resuscitation. "The extent to which critically ill patients benefit from survival months to years after cardiac arrest should be the ultimate measure of the usefulness of resuscitation measures," Dr. Goldberger and his associates said.

This study was funded by the American Heart Association, the Robert Wood Johnson Foundation, and the National Heart, Lung, and Blood Institute. Dr. Goldberger reported no financial conflicts of interest, and one of his associates reported ties to Medtronic and United Health Care.

References

References

Publications
Publications
Topics
Article Type
Display Headline
More Survival, No Neurologic Loss Seen With Longer In-Hospital CPR
Display Headline
More Survival, No Neurologic Loss Seen With Longer In-Hospital CPR
Article Source

FROM THE LANCET

PURLs Copyright

Inside the Article

Vitals

Major Finding: The rate of favorable neurologic status was 81.2% for patients in whom resuscitation attempts lasted less than 15 minutes, 80.0% with 15-30-minute attempts, and 78.4% with attempts lasting over 30 minutes.

Data Source: An observational analysis of survival outcomes in 64,339 patients who survived in-hospital cardiac arrest at 435 U.S. hospitals during 2000-2008.

Disclosures: This study was funded by the American Heart Association, the Robert Wood Johnson Foundation, and the National Heart, Lung, and Blood Institute. Dr. Goldberger reported no financial conflicts of interest, and one of his associates reported ties to Medtronic and United Health Care.

More Survival, No Neurologic Loss Seen With Longer In-Hospital CPR

Try a Little Longer
Article Type
Changed
Display Headline
More Survival, No Neurologic Loss Seen With Longer In-Hospital CPR

Systematically lengthening the duration of resuscitation efforts for patients who have in-hospital cardiac arrests could improve survival with no adverse impact on neurological status, according to a report published Sept. 4 in The Lancet.

In a study of 64,339 patients who had in-hospital cardiac arrests at 435 U.S. hospitals over an 8-year period, this survival benefit was independent of numerous patient factors, wrote Dr. Zachary D. Goldberger of the division of cardiovascular medicine, University of Michigan, Ann Arbor, and his associates.

Yuri_Arcurs/iStockphoto.com
Longer resuscitation attempts may lead to increased survival in hospital patients suffering from cardiac arrest.

Importantly, they wrote, neurologic status was not affected by the duration of resuscitation efforts, so patients revived after relatively long CPR attempts of 30 minutes or more were as neurologically intact as were those revived after brief attempts of less than 15 minutes.

"Our most notable result was that long resuscitation attempts might be linked to increased rates of return of spontaneous circulation and survival to discharge," they said.

At present, resuscitation guidelines do not address the issue of when to terminate such efforts, and there are not enough data available to guide practice. "Clinicians are frequently reluctant to continue efforts when return of spontaneous circulation does not occur shortly after initiation of resuscitation, in view of the overall poor prognosis for such patients," the researchers noted.

They examined the issue using information from the Get With The Guidelines-Resuscitation database, the largest registry of in-hospital cardiac arrests in the world. A total of 31,198 patients (48.5%) achieved return of spontaneous circulation, while 33,141 (51.5%) died after termination of resuscitation efforts.

Approximately 80% of patients who survived to hospital discharge had favorable neurologic status. The rate of favorable status did not differ significantly by duration of resuscitation: It was 81.2% for patients in whom resuscitation attempts lasted less than 15 minutes, 80.0% for those in whom resuscitation attempts lasted 15-30 minutes, and 78.4% for those in whom resuscitation attempts lasted longer than 30 minutes.

As expected when there is no consensus on the appropriate duration of resuscitation attempts, the investigators found wide variation among hospitals in this practice.

Overall, the median duration of resuscitation efforts was 17 minutes. When the hospitals were divided into quartiles based on this duration, those in the quartile with the shortest interval had a median duration of 16 minutes, while those in the quartile with the longest interval had a median duration of 25 minutes.

Resuscitation efforts lasted more than 50% longer at hospitals in the longest quartile compared with those in the shortest quartile.

Patients at the hospitals with longer durations of resuscitation efforts had significantly higher overall survival and significantly higher survival to hospital discharge than did those at hospitals with shorter durations of resuscitation efforts, Dr. Goldberger and his colleagues said (Lancet 2012 Sept. 4 [doi:10.1016/S0140-6736(12)60862-9]).

The study findings suggest that standardizing resuscitation procedures and identifying a minimum duration could improve patient survival. "Prolongation of resuscitation attempts by 10 or 15 minutes might have only a slight effect on resources once efforts have already begun, but could improve outcomes," the investigators noted.

"We are unable to provide a specific cutoff from these data and are hesitant to speculate," especially because this was an observational study that cannot establish cause and effect. Moreover, several variables that almost certainly affected the duration of resuscitation efforts were not addressed in this study, such as the quality of chest compressions and the availability at each hospital of percutaneous intervention.

It is even possible that the duration of resuscitation attempts is merely a marker for "more comprehensive care" with longer CPR performed at centers where resuscitation guidelines are reliably implemented, they added.

It should also be noted that this study did not address long-term outcomes in survivors of resuscitation. "The extent to which critically ill patients benefit from survival months to years after cardiac arrest should be the ultimate measure of the usefulness of resuscitation measures," Dr. Goldberger and his associates said.

The study was funded by the American Heart Association, the Robert Wood Johnson Foundation, and the National Heart, Lung, and Blood Institute. Dr. Goldberger reported no financial conflicts of interest, and one of his associates reported ties to Medtronic and United Health Care.

Body

The findings of Goldberger and colleagues should reassure clinicians that prolonged resuscitation efforts "do not seem to result in a substantial increase in severe neurological injury in survivors," said Dr. Jerry P. Nolan and Dr. Jasmeet Soar.

All hospitals should monitor their cardiac arrests to improve their quality of care. "If the cause of a cardiac arrest is potentially reversible, it might be worthwhile to try [resuscitation] for a little longer," they said.

Dr. Nolan is at the Royal United Hospital NHS Trust in Bath, England, and is editor-in-chief of the journal Resuscitation. Dr. Soar is at Southmead Hospital North Bristol NHS Trust in Bristol, England, and is an editor at the journal Resuscitation. They reported no financial conflicts of interest. These remarks were taken from their editorial comment accompanying Dr. Goldberger’s report (Lancet 2012 Sept. 4 [doi:10.1016/S0140-6736(12)61182-9]).

Author and Disclosure Information

Publications
Topics
Legacy Keywords
brain CPR, longer CPR, resuscitation efforts, in-hospital cardiac arrests, Dr. Zachary D. Goldberger, cardiac arrest brain
Author and Disclosure Information

Author and Disclosure Information

Body

The findings of Goldberger and colleagues should reassure clinicians that prolonged resuscitation efforts "do not seem to result in a substantial increase in severe neurological injury in survivors," said Dr. Jerry P. Nolan and Dr. Jasmeet Soar.

All hospitals should monitor their cardiac arrests to improve their quality of care. "If the cause of a cardiac arrest is potentially reversible, it might be worthwhile to try [resuscitation] for a little longer," they said.

Dr. Nolan is at the Royal United Hospital NHS Trust in Bath, England, and is editor-in-chief of the journal Resuscitation. Dr. Soar is at Southmead Hospital North Bristol NHS Trust in Bristol, England, and is an editor at the journal Resuscitation. They reported no financial conflicts of interest. These remarks were taken from their editorial comment accompanying Dr. Goldberger’s report (Lancet 2012 Sept. 4 [doi:10.1016/S0140-6736(12)61182-9]).

Body

The findings of Goldberger and colleagues should reassure clinicians that prolonged resuscitation efforts "do not seem to result in a substantial increase in severe neurological injury in survivors," said Dr. Jerry P. Nolan and Dr. Jasmeet Soar.

All hospitals should monitor their cardiac arrests to improve their quality of care. "If the cause of a cardiac arrest is potentially reversible, it might be worthwhile to try [resuscitation] for a little longer," they said.

Dr. Nolan is at the Royal United Hospital NHS Trust in Bath, England, and is editor-in-chief of the journal Resuscitation. Dr. Soar is at Southmead Hospital North Bristol NHS Trust in Bristol, England, and is an editor at the journal Resuscitation. They reported no financial conflicts of interest. These remarks were taken from their editorial comment accompanying Dr. Goldberger’s report (Lancet 2012 Sept. 4 [doi:10.1016/S0140-6736(12)61182-9]).

Title
Try a Little Longer
Try a Little Longer

Systematically lengthening the duration of resuscitation efforts for patients who have in-hospital cardiac arrests could improve survival with no adverse impact on neurological status, according to a report published Sept. 4 in The Lancet.

In a study of 64,339 patients who had in-hospital cardiac arrests at 435 U.S. hospitals over an 8-year period, this survival benefit was independent of numerous patient factors, wrote Dr. Zachary D. Goldberger of the division of cardiovascular medicine, University of Michigan, Ann Arbor, and his associates.

Yuri_Arcurs/iStockphoto.com
Longer resuscitation attempts may lead to increased survival in hospital patients suffering from cardiac arrest.

Importantly, they wrote, neurologic status was not affected by the duration of resuscitation efforts, so patients revived after relatively long CPR attempts of 30 minutes or more were as neurologically intact as were those revived after brief attempts of less than 15 minutes.

"Our most notable result was that long resuscitation attempts might be linked to increased rates of return of spontaneous circulation and survival to discharge," they said.

At present, resuscitation guidelines do not address the issue of when to terminate such efforts, and there are not enough data available to guide practice. "Clinicians are frequently reluctant to continue efforts when return of spontaneous circulation does not occur shortly after initiation of resuscitation, in view of the overall poor prognosis for such patients," the researchers noted.

They examined the issue using information from the Get With The Guidelines-Resuscitation database, the largest registry of in-hospital cardiac arrests in the world. A total of 31,198 patients (48.5%) achieved return of spontaneous circulation, while 33,141 (51.5%) died after termination of resuscitation efforts.

Approximately 80% of patients who survived to hospital discharge had favorable neurologic status. The rate of favorable status did not differ significantly by duration of resuscitation: It was 81.2% for patients in whom resuscitation attempts lasted less than 15 minutes, 80.0% for those in whom resuscitation attempts lasted 15-30 minutes, and 78.4% for those in whom resuscitation attempts lasted longer than 30 minutes.

As expected when there is no consensus on the appropriate duration of resuscitation attempts, the investigators found wide variation among hospitals in this practice.

Overall, the median duration of resuscitation efforts was 17 minutes. When the hospitals were divided into quartiles based on this duration, those in the quartile with the shortest interval had a median duration of 16 minutes, while those in the quartile with the longest interval had a median duration of 25 minutes.

Resuscitation efforts lasted more than 50% longer at hospitals in the longest quartile compared with those in the shortest quartile.

Patients at the hospitals with longer durations of resuscitation efforts had significantly higher overall survival and significantly higher survival to hospital discharge than did those at hospitals with shorter durations of resuscitation efforts, Dr. Goldberger and his colleagues said (Lancet 2012 Sept. 4 [doi:10.1016/S0140-6736(12)60862-9]).

The study findings suggest that standardizing resuscitation procedures and identifying a minimum duration could improve patient survival. "Prolongation of resuscitation attempts by 10 or 15 minutes might have only a slight effect on resources once efforts have already begun, but could improve outcomes," the investigators noted.

"We are unable to provide a specific cutoff from these data and are hesitant to speculate," especially because this was an observational study that cannot establish cause and effect. Moreover, several variables that almost certainly affected the duration of resuscitation efforts were not addressed in this study, such as the quality of chest compressions and the availability at each hospital of percutaneous intervention.

It is even possible that the duration of resuscitation attempts is merely a marker for "more comprehensive care" with longer CPR performed at centers where resuscitation guidelines are reliably implemented, they added.

It should also be noted that this study did not address long-term outcomes in survivors of resuscitation. "The extent to which critically ill patients benefit from survival months to years after cardiac arrest should be the ultimate measure of the usefulness of resuscitation measures," Dr. Goldberger and his associates said.

The study was funded by the American Heart Association, the Robert Wood Johnson Foundation, and the National Heart, Lung, and Blood Institute. Dr. Goldberger reported no financial conflicts of interest, and one of his associates reported ties to Medtronic and United Health Care.

Systematically lengthening the duration of resuscitation efforts for patients who have in-hospital cardiac arrests could improve survival with no adverse impact on neurological status, according to a report published Sept. 4 in The Lancet.

In a study of 64,339 patients who had in-hospital cardiac arrests at 435 U.S. hospitals over an 8-year period, this survival benefit was independent of numerous patient factors, wrote Dr. Zachary D. Goldberger of the division of cardiovascular medicine, University of Michigan, Ann Arbor, and his associates.

Yuri_Arcurs/iStockphoto.com
Longer resuscitation attempts may lead to increased survival in hospital patients suffering from cardiac arrest.

Importantly, they wrote, neurologic status was not affected by the duration of resuscitation efforts, so patients revived after relatively long CPR attempts of 30 minutes or more were as neurologically intact as were those revived after brief attempts of less than 15 minutes.

"Our most notable result was that long resuscitation attempts might be linked to increased rates of return of spontaneous circulation and survival to discharge," they said.

At present, resuscitation guidelines do not address the issue of when to terminate such efforts, and there are not enough data available to guide practice. "Clinicians are frequently reluctant to continue efforts when return of spontaneous circulation does not occur shortly after initiation of resuscitation, in view of the overall poor prognosis for such patients," the researchers noted.

They examined the issue using information from the Get With The Guidelines-Resuscitation database, the largest registry of in-hospital cardiac arrests in the world. A total of 31,198 patients (48.5%) achieved return of spontaneous circulation, while 33,141 (51.5%) died after termination of resuscitation efforts.

Approximately 80% of patients who survived to hospital discharge had favorable neurologic status. The rate of favorable status did not differ significantly by duration of resuscitation: It was 81.2% for patients in whom resuscitation attempts lasted less than 15 minutes, 80.0% for those in whom resuscitation attempts lasted 15-30 minutes, and 78.4% for those in whom resuscitation attempts lasted longer than 30 minutes.

As expected when there is no consensus on the appropriate duration of resuscitation attempts, the investigators found wide variation among hospitals in this practice.

Overall, the median duration of resuscitation efforts was 17 minutes. When the hospitals were divided into quartiles based on this duration, those in the quartile with the shortest interval had a median duration of 16 minutes, while those in the quartile with the longest interval had a median duration of 25 minutes.

Resuscitation efforts lasted more than 50% longer at hospitals in the longest quartile compared with those in the shortest quartile.

Patients at the hospitals with longer durations of resuscitation efforts had significantly higher overall survival and significantly higher survival to hospital discharge than did those at hospitals with shorter durations of resuscitation efforts, Dr. Goldberger and his colleagues said (Lancet 2012 Sept. 4 [doi:10.1016/S0140-6736(12)60862-9]).

The study findings suggest that standardizing resuscitation procedures and identifying a minimum duration could improve patient survival. "Prolongation of resuscitation attempts by 10 or 15 minutes might have only a slight effect on resources once efforts have already begun, but could improve outcomes," the investigators noted.

"We are unable to provide a specific cutoff from these data and are hesitant to speculate," especially because this was an observational study that cannot establish cause and effect. Moreover, several variables that almost certainly affected the duration of resuscitation efforts were not addressed in this study, such as the quality of chest compressions and the availability at each hospital of percutaneous intervention.

It is even possible that the duration of resuscitation attempts is merely a marker for "more comprehensive care" with longer CPR performed at centers where resuscitation guidelines are reliably implemented, they added.

It should also be noted that this study did not address long-term outcomes in survivors of resuscitation. "The extent to which critically ill patients benefit from survival months to years after cardiac arrest should be the ultimate measure of the usefulness of resuscitation measures," Dr. Goldberger and his associates said.

The study was funded by the American Heart Association, the Robert Wood Johnson Foundation, and the National Heart, Lung, and Blood Institute. Dr. Goldberger reported no financial conflicts of interest, and one of his associates reported ties to Medtronic and United Health Care.

Publications
Publications
Topics
Article Type
Display Headline
More Survival, No Neurologic Loss Seen With Longer In-Hospital CPR
Display Headline
More Survival, No Neurologic Loss Seen With Longer In-Hospital CPR
Legacy Keywords
brain CPR, longer CPR, resuscitation efforts, in-hospital cardiac arrests, Dr. Zachary D. Goldberger, cardiac arrest brain
Legacy Keywords
brain CPR, longer CPR, resuscitation efforts, in-hospital cardiac arrests, Dr. Zachary D. Goldberger, cardiac arrest brain
Article Source

FROM THE LANCET

PURLs Copyright

Inside the Article

Vitals

Major Finding: The rate of favorable neurologic status was 81.2% for patients in whom resuscitation attempts lasted less than 15 minutes, 80.0% with 15-30-minute attempts, and 78.4% with attempts lasting over 30 minutes.

Data Source: An observational analysis of survival outcomes in 64,339 patients who survived in-hospital cardiac arrest at 435 U.S. hospitals during 2000-2008.

Disclosures: This study was funded by the American Heart Association, the Robert Wood Johnson Foundation, and the National Heart, Lung, and Blood Institute. Dr. Goldberger reported no financial conflicts of interest, and one of his associates reported ties to Medtronic and United Health Care.

More Evidence Confirms Relevance of Risk Allele to Schizophrenia

Article Type
Changed
Display Headline
More Evidence Confirms Relevance of Risk Allele to Schizophrenia

The rs1344706 SNP on the ZNF804a gene was found to correlate with the volume of cortical white matter in schizophrenia patients and healthy control subjects, according to a report published Sept. 3 in Archives of General Psychiatry.

This SNP also correlated with severity of hallucinations and delusions in the patients with schizophrenia.

"Thus, our study further strengthens the case for rs1344706 being of relevance to schizophrenia," said Dr. Thomas H. Wassink of the University of Iowa, Iowa City, and his associates.

Numerous studies have tied the rs1344706 SNP to several phenotypic traits of schizophrenia, including brain activation patterns, symptomatology, cognitive abilities, and brain structure. To examine in greater detail the relationship between this genetic variant and the volume of various brain structures, Dr. Wassink and his colleagues examined high-resolution brain MRIs from 335 patients with schizophrenia spectrum disorders and 198 healthy volunteers who had no medical, neurologic, or psychiatric illnesses and no first-degree relatives with schizophrenia.

Using the Comprehensive Assessment of Symptoms and History, the patients were diagnosed as having schizophrenia (310 subjects), schizoaffective disorder (21 subjects), delusional disorder (2 subjects), schizophreniform disorder (1 subject), or schizotypal personality disorder (1 subject).

The mean age of both the patients and the controls was approximately 31 years, and more than 90% of both groups were of white ethnicity.

In schizophrenia patients, the rs1344706 SNP was significantly associated with greater white matter volume in both the cortex and the frontal lobe. The highest-risk allele, carried by 126 patients, correlated with the greatest "excess" volume. The intermediate-risk allele, carried by 165 patients, correlated with intermediate "excess" volume. And the lowest-risk allele, carried by 44 patients, correlated with the lowest "excess" volume

However, the rs1344706 SNP was not significantly associated with greater grey matter volume in the schizophrenia group. This finding is contrary to that of 2 previous studies, the investigators noted (Arch. Gen. Psych. 2012;69:885-92).

The results were similar for the control subjects. In this group, 69 carried the highest-risk allele, 105 the intermediate-risk allele, and 24 the lowest-risk allele.

The rs1344706 SNP also exerted a significant effect on psychotic dimension scores, with the highest-risk allele correlating with the most severe hallucinations and delusions. In contrast, negative symptom and disorganized symptom dimensions were not related to rs1344706 status.

"This concordance of associations is supported by previous studies relating symptoms to [white matter] structure and function. Individuals at high risk for developing psychotic disorders who undergo MRI and who then go on to develop psychosis, for example, have increased [white matter] volume compared with high-risk individuals who do not go on to develop psychosis," Dr. Wassink and his colleagues said.

Although the study findings largely confirm those of previous studies, the magnitude of the genetic variant’s effect on brain volume was much smaller in this study than in previous studies. The rs1344706 SNP accounted for only 1.1% of the difference in total cortical white matter volume among control subjects and only 2.0% of the difference among schizophrenia subjects in this study, in contrast to the 15% estimate in previous studies. "Our estimate may be more reliable given our larger sample size and the low likelihood that a single polymorphism would have such a strong effect on the genetically complex trait of brain structure volume," the researchers said.

The results of this study add to the growing body of evidence suggesting that the risk allele of rs1347706 "is associated with a distinctive set of phenotypic features" in both schizophrenia patients and health controls, they added.

This study was supported in part by the National Institute of Mental Health. No financial conflicts of interest were reported.

Author and Disclosure Information

Publications
Topics
Legacy Keywords
rs1344706 SNP, ZNF804a gene, cortical white matter, schizophrenia, allele, Dr. Thomas H. Wassink,
Author and Disclosure Information

Author and Disclosure Information

The rs1344706 SNP on the ZNF804a gene was found to correlate with the volume of cortical white matter in schizophrenia patients and healthy control subjects, according to a report published Sept. 3 in Archives of General Psychiatry.

This SNP also correlated with severity of hallucinations and delusions in the patients with schizophrenia.

"Thus, our study further strengthens the case for rs1344706 being of relevance to schizophrenia," said Dr. Thomas H. Wassink of the University of Iowa, Iowa City, and his associates.

Numerous studies have tied the rs1344706 SNP to several phenotypic traits of schizophrenia, including brain activation patterns, symptomatology, cognitive abilities, and brain structure. To examine in greater detail the relationship between this genetic variant and the volume of various brain structures, Dr. Wassink and his colleagues examined high-resolution brain MRIs from 335 patients with schizophrenia spectrum disorders and 198 healthy volunteers who had no medical, neurologic, or psychiatric illnesses and no first-degree relatives with schizophrenia.

Using the Comprehensive Assessment of Symptoms and History, the patients were diagnosed as having schizophrenia (310 subjects), schizoaffective disorder (21 subjects), delusional disorder (2 subjects), schizophreniform disorder (1 subject), or schizotypal personality disorder (1 subject).

The mean age of both the patients and the controls was approximately 31 years, and more than 90% of both groups were of white ethnicity.

In schizophrenia patients, the rs1344706 SNP was significantly associated with greater white matter volume in both the cortex and the frontal lobe. The highest-risk allele, carried by 126 patients, correlated with the greatest "excess" volume. The intermediate-risk allele, carried by 165 patients, correlated with intermediate "excess" volume. And the lowest-risk allele, carried by 44 patients, correlated with the lowest "excess" volume

However, the rs1344706 SNP was not significantly associated with greater grey matter volume in the schizophrenia group. This finding is contrary to that of 2 previous studies, the investigators noted (Arch. Gen. Psych. 2012;69:885-92).

The results were similar for the control subjects. In this group, 69 carried the highest-risk allele, 105 the intermediate-risk allele, and 24 the lowest-risk allele.

The rs1344706 SNP also exerted a significant effect on psychotic dimension scores, with the highest-risk allele correlating with the most severe hallucinations and delusions. In contrast, negative symptom and disorganized symptom dimensions were not related to rs1344706 status.

"This concordance of associations is supported by previous studies relating symptoms to [white matter] structure and function. Individuals at high risk for developing psychotic disorders who undergo MRI and who then go on to develop psychosis, for example, have increased [white matter] volume compared with high-risk individuals who do not go on to develop psychosis," Dr. Wassink and his colleagues said.

Although the study findings largely confirm those of previous studies, the magnitude of the genetic variant’s effect on brain volume was much smaller in this study than in previous studies. The rs1344706 SNP accounted for only 1.1% of the difference in total cortical white matter volume among control subjects and only 2.0% of the difference among schizophrenia subjects in this study, in contrast to the 15% estimate in previous studies. "Our estimate may be more reliable given our larger sample size and the low likelihood that a single polymorphism would have such a strong effect on the genetically complex trait of brain structure volume," the researchers said.

The results of this study add to the growing body of evidence suggesting that the risk allele of rs1347706 "is associated with a distinctive set of phenotypic features" in both schizophrenia patients and health controls, they added.

This study was supported in part by the National Institute of Mental Health. No financial conflicts of interest were reported.

The rs1344706 SNP on the ZNF804a gene was found to correlate with the volume of cortical white matter in schizophrenia patients and healthy control subjects, according to a report published Sept. 3 in Archives of General Psychiatry.

This SNP also correlated with severity of hallucinations and delusions in the patients with schizophrenia.

"Thus, our study further strengthens the case for rs1344706 being of relevance to schizophrenia," said Dr. Thomas H. Wassink of the University of Iowa, Iowa City, and his associates.

Numerous studies have tied the rs1344706 SNP to several phenotypic traits of schizophrenia, including brain activation patterns, symptomatology, cognitive abilities, and brain structure. To examine in greater detail the relationship between this genetic variant and the volume of various brain structures, Dr. Wassink and his colleagues examined high-resolution brain MRIs from 335 patients with schizophrenia spectrum disorders and 198 healthy volunteers who had no medical, neurologic, or psychiatric illnesses and no first-degree relatives with schizophrenia.

Using the Comprehensive Assessment of Symptoms and History, the patients were diagnosed as having schizophrenia (310 subjects), schizoaffective disorder (21 subjects), delusional disorder (2 subjects), schizophreniform disorder (1 subject), or schizotypal personality disorder (1 subject).

The mean age of both the patients and the controls was approximately 31 years, and more than 90% of both groups were of white ethnicity.

In schizophrenia patients, the rs1344706 SNP was significantly associated with greater white matter volume in both the cortex and the frontal lobe. The highest-risk allele, carried by 126 patients, correlated with the greatest "excess" volume. The intermediate-risk allele, carried by 165 patients, correlated with intermediate "excess" volume. And the lowest-risk allele, carried by 44 patients, correlated with the lowest "excess" volume

However, the rs1344706 SNP was not significantly associated with greater grey matter volume in the schizophrenia group. This finding is contrary to that of 2 previous studies, the investigators noted (Arch. Gen. Psych. 2012;69:885-92).

The results were similar for the control subjects. In this group, 69 carried the highest-risk allele, 105 the intermediate-risk allele, and 24 the lowest-risk allele.

The rs1344706 SNP also exerted a significant effect on psychotic dimension scores, with the highest-risk allele correlating with the most severe hallucinations and delusions. In contrast, negative symptom and disorganized symptom dimensions were not related to rs1344706 status.

"This concordance of associations is supported by previous studies relating symptoms to [white matter] structure and function. Individuals at high risk for developing psychotic disorders who undergo MRI and who then go on to develop psychosis, for example, have increased [white matter] volume compared with high-risk individuals who do not go on to develop psychosis," Dr. Wassink and his colleagues said.

Although the study findings largely confirm those of previous studies, the magnitude of the genetic variant’s effect on brain volume was much smaller in this study than in previous studies. The rs1344706 SNP accounted for only 1.1% of the difference in total cortical white matter volume among control subjects and only 2.0% of the difference among schizophrenia subjects in this study, in contrast to the 15% estimate in previous studies. "Our estimate may be more reliable given our larger sample size and the low likelihood that a single polymorphism would have such a strong effect on the genetically complex trait of brain structure volume," the researchers said.

The results of this study add to the growing body of evidence suggesting that the risk allele of rs1347706 "is associated with a distinctive set of phenotypic features" in both schizophrenia patients and health controls, they added.

This study was supported in part by the National Institute of Mental Health. No financial conflicts of interest were reported.

Publications
Publications
Topics
Article Type
Display Headline
More Evidence Confirms Relevance of Risk Allele to Schizophrenia
Display Headline
More Evidence Confirms Relevance of Risk Allele to Schizophrenia
Legacy Keywords
rs1344706 SNP, ZNF804a gene, cortical white matter, schizophrenia, allele, Dr. Thomas H. Wassink,
Legacy Keywords
rs1344706 SNP, ZNF804a gene, cortical white matter, schizophrenia, allele, Dr. Thomas H. Wassink,
Article Source

FROM ARCHIVES OF GENERAL PSYCHIATRY

PURLs Copyright

Inside the Article

Vitals

Major Finding: The rs1344706 SNP on the ZNF804a gene, which has been associated with schizophrenia in numerous studies, correlated with white matter volume, and severity of hallucinations and delusions.

Data Source: A case-control analysis of high-resolution brain MRIs and DNA test results in 335 patients with schizophrenia spectrum disorders and 198 healthy control subjects.

Disclosures: This study was supported in part by the National Institute of Mental Health. No financial conflicts of interest were reported.

Biologic Agents for RA Don't Appear to Raise Malignancy Risk

Article Type
Changed
Display Headline
Biologic Agents for RA Don't Appear to Raise Malignancy Risk

The use of biologic agents to treat rheumatoid arthritis doesn’t appear to be associated with an increased risk of malignancy, compared with either placebo or with other disease-modifying drugs, according to a report in the Sept. 5 issue of JAMA.

In a meta-analysis of 63 randomized clinical trials of at least 24 weeks’ duration involving 29,423 adults with RA, there was no increase in the risk of cancer in general or in the risk of specific cancers. "Additional systematic reviews of observational studies are needed to establish risk in the longer term," said Dr. Maria A. Lopez-Olivo of the University of Texas M.D. Anderson Cancer Center, Houston, and her associates.

They described their study as the first systematic review and meta-analysis to assess the risk of any type of malignancy solely in RA patients who were taking any of the nine biologic agents approved for such use: abatacept, adalimumab, anakinra, certolizumab, etanercept, golimumab, infliximab, rituximab, or tocilizumab.

There has been concern that these agents could raise cancer risk because they interfere with the immune system. Some data have implicated tumor necrosis factor (TNF) inhibitors in particular, prompting the Food and Drug Administration to recommend adding a warning label citing an excess of cases of spontaneous lymphoma among children and adolescents taking TNF inhibitors.

"While trials in RA are relatively short and cannot evaluate the risk over longer-term exposure as observational studies do, we thought there was a need to conduct an updated meta-analysis of RCTs [randomized controlled trials] because of the older reports of the possible increase in malignancies and the more recent FDA advisory for TNF inhibitors, mostly based on studies in children," the researchers noted.

In the RCTs included in this meta-analysis, sample sizes ranged from 20 to 1,399 subjects. Most study subjects (79%) were white, and 76% were women. The mean duration of RA ranged from less than 1 year to 13 years.

Pharmaceutical companies sponsored 56 of the 63 trials, and another 3 did not disclose their funding sources. The remaining four trials were funded by national organizations, but the agents they used were provided free of charge by manufacturers. "There is evidence that industry-sponsored trials may overestimate the treatment effect and could possibly also overestimate safety," acacording to Dr. Lopez-Olivo and her associates.

A total of 15,989 study subjects were assigned to take biologic agents plus methotrexate and/or other disease-modifying antirheumatic drugs, while 3,615 were assigned to take the biologic agents alone and 9,819 served as control subjects who were given placebos.

A total of 211 malignancies developed during the trials, in 0.77% of the combination-therapy group, 0.64% of the monotherapy group, and 0.66% of the control group. These differences were not significant, the investigators said (JAMA 2012;308:898-908).

Skin cancers accounted for 48 of the malignancies (which included 4 melanomas), 14 were lymphomas, 26 were not specified, and 5 were hematologic nonlymphomas. The remaining 118 malignancies were solid tumors affecting a wide variety of organs including the adrenal glands, bladder, breast, GI system, liver, lung, ovary, pancreas, prostate, kidney, testes, thyroid, tongue, and uterus.

Thus there was no pattern involving a specific type of cancer.

Similarly, there was no pattern involving any of the individual biologic agents, Dr. Lopez-Olivo and her associates said.

"The only increased risk of malignancy we observed was in patients with RA treated with TNF inhibitors plus methotrexate at 52 weeks, for all cancers combined." However, this effect was not consistent across the three separate analytical methods the researchers used, did not occur in patients taking TNF inhibitors as monotherapy, and did not occur at any of the other three time points assessed.

The study findings "suggest that biologic, disease-modifying agents may be generally safe with respect to risk of malignancy in the short term," but their safety in RA patients who have concomitant cancer or risk factors for cancer remains unknown, the researchers said.

No sponsors were involved with this study, and no financial conflicts of interest were reported.

Author and Disclosure Information

Publications
Topics
Legacy Keywords
biologics RA, RA treatment, biologic agents rheumatoid arthritis, disease-modifying drugs, RA cancer, RA malignancy
Author and Disclosure Information

Author and Disclosure Information

The use of biologic agents to treat rheumatoid arthritis doesn’t appear to be associated with an increased risk of malignancy, compared with either placebo or with other disease-modifying drugs, according to a report in the Sept. 5 issue of JAMA.

In a meta-analysis of 63 randomized clinical trials of at least 24 weeks’ duration involving 29,423 adults with RA, there was no increase in the risk of cancer in general or in the risk of specific cancers. "Additional systematic reviews of observational studies are needed to establish risk in the longer term," said Dr. Maria A. Lopez-Olivo of the University of Texas M.D. Anderson Cancer Center, Houston, and her associates.

They described their study as the first systematic review and meta-analysis to assess the risk of any type of malignancy solely in RA patients who were taking any of the nine biologic agents approved for such use: abatacept, adalimumab, anakinra, certolizumab, etanercept, golimumab, infliximab, rituximab, or tocilizumab.

There has been concern that these agents could raise cancer risk because they interfere with the immune system. Some data have implicated tumor necrosis factor (TNF) inhibitors in particular, prompting the Food and Drug Administration to recommend adding a warning label citing an excess of cases of spontaneous lymphoma among children and adolescents taking TNF inhibitors.

"While trials in RA are relatively short and cannot evaluate the risk over longer-term exposure as observational studies do, we thought there was a need to conduct an updated meta-analysis of RCTs [randomized controlled trials] because of the older reports of the possible increase in malignancies and the more recent FDA advisory for TNF inhibitors, mostly based on studies in children," the researchers noted.

In the RCTs included in this meta-analysis, sample sizes ranged from 20 to 1,399 subjects. Most study subjects (79%) were white, and 76% were women. The mean duration of RA ranged from less than 1 year to 13 years.

Pharmaceutical companies sponsored 56 of the 63 trials, and another 3 did not disclose their funding sources. The remaining four trials were funded by national organizations, but the agents they used were provided free of charge by manufacturers. "There is evidence that industry-sponsored trials may overestimate the treatment effect and could possibly also overestimate safety," acacording to Dr. Lopez-Olivo and her associates.

A total of 15,989 study subjects were assigned to take biologic agents plus methotrexate and/or other disease-modifying antirheumatic drugs, while 3,615 were assigned to take the biologic agents alone and 9,819 served as control subjects who were given placebos.

A total of 211 malignancies developed during the trials, in 0.77% of the combination-therapy group, 0.64% of the monotherapy group, and 0.66% of the control group. These differences were not significant, the investigators said (JAMA 2012;308:898-908).

Skin cancers accounted for 48 of the malignancies (which included 4 melanomas), 14 were lymphomas, 26 were not specified, and 5 were hematologic nonlymphomas. The remaining 118 malignancies were solid tumors affecting a wide variety of organs including the adrenal glands, bladder, breast, GI system, liver, lung, ovary, pancreas, prostate, kidney, testes, thyroid, tongue, and uterus.

Thus there was no pattern involving a specific type of cancer.

Similarly, there was no pattern involving any of the individual biologic agents, Dr. Lopez-Olivo and her associates said.

"The only increased risk of malignancy we observed was in patients with RA treated with TNF inhibitors plus methotrexate at 52 weeks, for all cancers combined." However, this effect was not consistent across the three separate analytical methods the researchers used, did not occur in patients taking TNF inhibitors as monotherapy, and did not occur at any of the other three time points assessed.

The study findings "suggest that biologic, disease-modifying agents may be generally safe with respect to risk of malignancy in the short term," but their safety in RA patients who have concomitant cancer or risk factors for cancer remains unknown, the researchers said.

No sponsors were involved with this study, and no financial conflicts of interest were reported.

The use of biologic agents to treat rheumatoid arthritis doesn’t appear to be associated with an increased risk of malignancy, compared with either placebo or with other disease-modifying drugs, according to a report in the Sept. 5 issue of JAMA.

In a meta-analysis of 63 randomized clinical trials of at least 24 weeks’ duration involving 29,423 adults with RA, there was no increase in the risk of cancer in general or in the risk of specific cancers. "Additional systematic reviews of observational studies are needed to establish risk in the longer term," said Dr. Maria A. Lopez-Olivo of the University of Texas M.D. Anderson Cancer Center, Houston, and her associates.

They described their study as the first systematic review and meta-analysis to assess the risk of any type of malignancy solely in RA patients who were taking any of the nine biologic agents approved for such use: abatacept, adalimumab, anakinra, certolizumab, etanercept, golimumab, infliximab, rituximab, or tocilizumab.

There has been concern that these agents could raise cancer risk because they interfere with the immune system. Some data have implicated tumor necrosis factor (TNF) inhibitors in particular, prompting the Food and Drug Administration to recommend adding a warning label citing an excess of cases of spontaneous lymphoma among children and adolescents taking TNF inhibitors.

"While trials in RA are relatively short and cannot evaluate the risk over longer-term exposure as observational studies do, we thought there was a need to conduct an updated meta-analysis of RCTs [randomized controlled trials] because of the older reports of the possible increase in malignancies and the more recent FDA advisory for TNF inhibitors, mostly based on studies in children," the researchers noted.

In the RCTs included in this meta-analysis, sample sizes ranged from 20 to 1,399 subjects. Most study subjects (79%) were white, and 76% were women. The mean duration of RA ranged from less than 1 year to 13 years.

Pharmaceutical companies sponsored 56 of the 63 trials, and another 3 did not disclose their funding sources. The remaining four trials were funded by national organizations, but the agents they used were provided free of charge by manufacturers. "There is evidence that industry-sponsored trials may overestimate the treatment effect and could possibly also overestimate safety," acacording to Dr. Lopez-Olivo and her associates.

A total of 15,989 study subjects were assigned to take biologic agents plus methotrexate and/or other disease-modifying antirheumatic drugs, while 3,615 were assigned to take the biologic agents alone and 9,819 served as control subjects who were given placebos.

A total of 211 malignancies developed during the trials, in 0.77% of the combination-therapy group, 0.64% of the monotherapy group, and 0.66% of the control group. These differences were not significant, the investigators said (JAMA 2012;308:898-908).

Skin cancers accounted for 48 of the malignancies (which included 4 melanomas), 14 were lymphomas, 26 were not specified, and 5 were hematologic nonlymphomas. The remaining 118 malignancies were solid tumors affecting a wide variety of organs including the adrenal glands, bladder, breast, GI system, liver, lung, ovary, pancreas, prostate, kidney, testes, thyroid, tongue, and uterus.

Thus there was no pattern involving a specific type of cancer.

Similarly, there was no pattern involving any of the individual biologic agents, Dr. Lopez-Olivo and her associates said.

"The only increased risk of malignancy we observed was in patients with RA treated with TNF inhibitors plus methotrexate at 52 weeks, for all cancers combined." However, this effect was not consistent across the three separate analytical methods the researchers used, did not occur in patients taking TNF inhibitors as monotherapy, and did not occur at any of the other three time points assessed.

The study findings "suggest that biologic, disease-modifying agents may be generally safe with respect to risk of malignancy in the short term," but their safety in RA patients who have concomitant cancer or risk factors for cancer remains unknown, the researchers said.

No sponsors were involved with this study, and no financial conflicts of interest were reported.

Publications
Publications
Topics
Article Type
Display Headline
Biologic Agents for RA Don't Appear to Raise Malignancy Risk
Display Headline
Biologic Agents for RA Don't Appear to Raise Malignancy Risk
Legacy Keywords
biologics RA, RA treatment, biologic agents rheumatoid arthritis, disease-modifying drugs, RA cancer, RA malignancy
Legacy Keywords
biologics RA, RA treatment, biologic agents rheumatoid arthritis, disease-modifying drugs, RA cancer, RA malignancy
Article Source

FROM JAMA

PURLs Copyright

Inside the Article

Vitals

Major Finding: The incidence of malignancy was very low and comparable across the 3,615 patients who took biologic agents as monotherapy (0.64%), the 15,989 who took biologic agents with methotrexate (0.77%), and the 9,819 control subjects who took no biologic agents (0.66%).

Data Source: The data came from a meta-analysis of 63 randomized clinical trials of at least 24 weeks’ duration involving 29,423 adults with RA who were treated with abatacept, adalimumab, anakinra, certolizumab, etanercept, golimumab, infliximab, rituximab, or tocilizumab and then were followed for the development of cancer.

Disclosures: No sponsors were involved with this study, and no financial conflicts of interest were reported.

Tiotropium Cut Exacerbations in Poorly Controlled Asthma

Studies Miss Noncompliance, CV Risk
Article Type
Changed
Display Headline
Tiotropium Cut Exacerbations in Poorly Controlled Asthma

Adding tiotropium to standard combination therapy may help reduce exacerbations in some adults whose asthma is poorly controlled despite the use of inhaled glucocorticoids and long-acting beta-agonists, according to a report of two randomized, controlled trials published online Sept. 3 in the New England Journal of Medicine.

However, tiotropium use did not increase the number of symptom-free days or boost patients’ asthma-related quality of life scores.

Compared with placebo, tiotropium administered once daily via a soft-mist inhaler significantly lengthened the time to a severe exacerbation of asthma, reduced the number of exacerbations, and provided "modest" bronchodilation when added to inhaled glucocorticoids and LABAs, said Dr. Huib A. M. Kerstjens of the University of Groningen (the Netherlands) and the Groningen Research Institute for Asthma and COPD, and his associates (N. Engl. J. Med. 2012 Sept. 3 [doi:10.1056/NEJMoa1208606]).

However, the improvements in forced expiratory volume in 1 second (FEV1) were "relatively small (less than 10%)," and the number of symptom-free days did not differ between patients who received tiotropium and those who received placebo.

Moreover, the use of rescue medications was the same between the two groups, and patient ratings of asthma-related quality of life also were the same on two measures, the researchers noted.

Tiotropium is the most widely used long-acting anticholinergic inhaled bronchodilator in the world for the treatment of chronic obstructive pulmonary disease, but it has only recently been investigated as a potential adjunctive therapy for asthma.

Dr. Kerstjens and his colleagues assessed the drug’s effects in two 48-week randomized, controlled trials conducted in 15 countries, both of which were funded by Boehringer Ingelheim and Pfizer. They presented their findings at the annual meeting of the European Respiratory Society simultaneously with online publication.

The studies included 912 adults aged 18-75 years who had a 5-year or longer history of asthma and persistent airflow limitation despite self-reported daily use of inhaled glucocorticoids and LABAs. They were randomly assigned to self administer puffs of either tiotropium (237 patients in study 1 and 219 patients in study 2) or placebo (222 patients in study 1 and 234 patients in study 2) every morning as add-on therapy.

Patients were allowed to continue the use of stable doses of sustained-release theophylline, leukotriene modifiers, anti-immunoglobulin E antibody, or oral glucocorticoids, and were given open-label inhalers of salbutamol or albuterol for use as rescue medication.

The first two lung-function end points of both studies were the peak FEV1 response and the trough FEV1 response at week 24, expressed as the change from baseline FEV1. Tiotropium topped placebo in peak FEV1 response by an average of 86 mL in trial 1 and 154 mL in trial 2, differences that were significant.

The average difference in trough FEV1 response between tiotropium and placebo groups was 88 mL in trial 1 and 111 mL in trial 2. Those differences were "relatively small" but also statistically significant.

"It should be noted that [these differences occurred] in patients who were already receiving a long-acting bronchodilator and had fixed airflow limitation," the investigators noted. The results also should be considered "in the context of the need for additional treatments for this patient population and the limitations of current alternatives," they added.

A third lung-function end point was the time until at least 25% of patients had their first severe exacerbation of asthma. That interval was 56 days longer with tiotropium (282 days), compared with placebo (226 days).

The number of severe exacerbations was a secondary end point of both trials. That number was 0.53 exacerbations per patient-year with tiotropium, significantly fewer than the 0.66 per patient-year with placebo. In addition, 27% of patients in both tiotropium groups had at least one severe exacerbation, which was significantly less than the 33% rate in both placebo groups.

However, asthma-related quality of life did not differ significantly between tiotropium and placebo groups in either trial. The minimal clinically important difference between the two groups was not achieved when measured by both the Asthma Control Questionnaire 7 and the 32-item Asthma Quality of Life Questionnaire.

Similarly, daily symptom diaries showed "small or nonsignificant" differences between the active drug and the placebo groups in symptom-free days. And the use of rescue medications also was similar.

Adverse events occurred in 73.5% of the tiotropium group and 80.3% of the placebo group, and allergic rhinitis was the only one that occurred more often in the tiotropium group. Adverse events were judged to be treatment related in 5.7% of the tiotropium group and 4.6% of the placebo group.

Serious adverse events occurred in 8.1% of the tiotropium group and 8.8% of the placebo group. Three of those events – two asthma exacerbations and one cerebral infarction – occurred in the tiotropium group and were considered life threatening.

 

 

Cardiac events occurred in less than 2% of both study groups; they were considered drug related in 0.4% of patients in the tiotropium group and 0.2% of those in the placebo group. Adverse changes in blood pressure, pulse rate, laboratory measures, and electrocardiograms were balanced between the two study groups.

Less than 2% of all patients experienced dry mouth – a typical adverse event with anticholinergic agents – but it was reported more frequently in the tiotropium group (eight patients vs. three patients), Dr. Kerstjens and his associates said.

Dr. Kerstjens reported additional associations with Almirall, Chiesi, Novartis, and Nycomed, and his associates reported ties to numerous industry sources.

Body

These studies’ findings cannot be generalized to all patients with uncontrolled asthma, because both studies selectively enrolled patients who had persistent airflow limitation – thus skewing the study populations to resemble the COPD patients who are already known to benefit from tiotropium, said Dr. Elisabeth H. Bel.

Both studies also excluded patients with heart disease, which may have masked the fact that soft-mist inhaler delivery of tiotropium "may impose a substantial risk in patients with a history of [cardiovascular] events," Dr. Bel cautioned.

In addition, the researchers failed to verify whether subjects were fully compliant with background asthma therapy at enrollment. Because it is known that more than 80% of patients with poorly controlled asthma have poor treatment adherence, the patients’ relative undertreatment at baseline "might have left room for additional bronchodilation by tiotropium," she noted.

Dr. Bel is in the department of pulmonology at the Academic Medical Center, Amsterdam. She reported ties to Actelion, GlaxoSmithKline, Merck, Novartis, Nycomed, and Schering Plough. These remarks were taken from her editorial accompanying Dr. Kerstjens’ report (N. Engl. J. Med. 2012 Sept. 3 [doi:10.1056/NEJMe1209381]).

Author and Disclosure Information

Publications
Topics
Legacy Keywords
tiotropium asthma, glucocorticoids asthma, long-acting beta-agonists, bronchodilation, inhaled glucocorticoids
Sections
Author and Disclosure Information

Author and Disclosure Information

Body

These studies’ findings cannot be generalized to all patients with uncontrolled asthma, because both studies selectively enrolled patients who had persistent airflow limitation – thus skewing the study populations to resemble the COPD patients who are already known to benefit from tiotropium, said Dr. Elisabeth H. Bel.

Both studies also excluded patients with heart disease, which may have masked the fact that soft-mist inhaler delivery of tiotropium "may impose a substantial risk in patients with a history of [cardiovascular] events," Dr. Bel cautioned.

In addition, the researchers failed to verify whether subjects were fully compliant with background asthma therapy at enrollment. Because it is known that more than 80% of patients with poorly controlled asthma have poor treatment adherence, the patients’ relative undertreatment at baseline "might have left room for additional bronchodilation by tiotropium," she noted.

Dr. Bel is in the department of pulmonology at the Academic Medical Center, Amsterdam. She reported ties to Actelion, GlaxoSmithKline, Merck, Novartis, Nycomed, and Schering Plough. These remarks were taken from her editorial accompanying Dr. Kerstjens’ report (N. Engl. J. Med. 2012 Sept. 3 [doi:10.1056/NEJMe1209381]).

Body

These studies’ findings cannot be generalized to all patients with uncontrolled asthma, because both studies selectively enrolled patients who had persistent airflow limitation – thus skewing the study populations to resemble the COPD patients who are already known to benefit from tiotropium, said Dr. Elisabeth H. Bel.

Both studies also excluded patients with heart disease, which may have masked the fact that soft-mist inhaler delivery of tiotropium "may impose a substantial risk in patients with a history of [cardiovascular] events," Dr. Bel cautioned.

In addition, the researchers failed to verify whether subjects were fully compliant with background asthma therapy at enrollment. Because it is known that more than 80% of patients with poorly controlled asthma have poor treatment adherence, the patients’ relative undertreatment at baseline "might have left room for additional bronchodilation by tiotropium," she noted.

Dr. Bel is in the department of pulmonology at the Academic Medical Center, Amsterdam. She reported ties to Actelion, GlaxoSmithKline, Merck, Novartis, Nycomed, and Schering Plough. These remarks were taken from her editorial accompanying Dr. Kerstjens’ report (N. Engl. J. Med. 2012 Sept. 3 [doi:10.1056/NEJMe1209381]).

Title
Studies Miss Noncompliance, CV Risk
Studies Miss Noncompliance, CV Risk

Adding tiotropium to standard combination therapy may help reduce exacerbations in some adults whose asthma is poorly controlled despite the use of inhaled glucocorticoids and long-acting beta-agonists, according to a report of two randomized, controlled trials published online Sept. 3 in the New England Journal of Medicine.

However, tiotropium use did not increase the number of symptom-free days or boost patients’ asthma-related quality of life scores.

Compared with placebo, tiotropium administered once daily via a soft-mist inhaler significantly lengthened the time to a severe exacerbation of asthma, reduced the number of exacerbations, and provided "modest" bronchodilation when added to inhaled glucocorticoids and LABAs, said Dr. Huib A. M. Kerstjens of the University of Groningen (the Netherlands) and the Groningen Research Institute for Asthma and COPD, and his associates (N. Engl. J. Med. 2012 Sept. 3 [doi:10.1056/NEJMoa1208606]).

However, the improvements in forced expiratory volume in 1 second (FEV1) were "relatively small (less than 10%)," and the number of symptom-free days did not differ between patients who received tiotropium and those who received placebo.

Moreover, the use of rescue medications was the same between the two groups, and patient ratings of asthma-related quality of life also were the same on two measures, the researchers noted.

Tiotropium is the most widely used long-acting anticholinergic inhaled bronchodilator in the world for the treatment of chronic obstructive pulmonary disease, but it has only recently been investigated as a potential adjunctive therapy for asthma.

Dr. Kerstjens and his colleagues assessed the drug’s effects in two 48-week randomized, controlled trials conducted in 15 countries, both of which were funded by Boehringer Ingelheim and Pfizer. They presented their findings at the annual meeting of the European Respiratory Society simultaneously with online publication.

The studies included 912 adults aged 18-75 years who had a 5-year or longer history of asthma and persistent airflow limitation despite self-reported daily use of inhaled glucocorticoids and LABAs. They were randomly assigned to self administer puffs of either tiotropium (237 patients in study 1 and 219 patients in study 2) or placebo (222 patients in study 1 and 234 patients in study 2) every morning as add-on therapy.

Patients were allowed to continue the use of stable doses of sustained-release theophylline, leukotriene modifiers, anti-immunoglobulin E antibody, or oral glucocorticoids, and were given open-label inhalers of salbutamol or albuterol for use as rescue medication.

The first two lung-function end points of both studies were the peak FEV1 response and the trough FEV1 response at week 24, expressed as the change from baseline FEV1. Tiotropium topped placebo in peak FEV1 response by an average of 86 mL in trial 1 and 154 mL in trial 2, differences that were significant.

The average difference in trough FEV1 response between tiotropium and placebo groups was 88 mL in trial 1 and 111 mL in trial 2. Those differences were "relatively small" but also statistically significant.

"It should be noted that [these differences occurred] in patients who were already receiving a long-acting bronchodilator and had fixed airflow limitation," the investigators noted. The results also should be considered "in the context of the need for additional treatments for this patient population and the limitations of current alternatives," they added.

A third lung-function end point was the time until at least 25% of patients had their first severe exacerbation of asthma. That interval was 56 days longer with tiotropium (282 days), compared with placebo (226 days).

The number of severe exacerbations was a secondary end point of both trials. That number was 0.53 exacerbations per patient-year with tiotropium, significantly fewer than the 0.66 per patient-year with placebo. In addition, 27% of patients in both tiotropium groups had at least one severe exacerbation, which was significantly less than the 33% rate in both placebo groups.

However, asthma-related quality of life did not differ significantly between tiotropium and placebo groups in either trial. The minimal clinically important difference between the two groups was not achieved when measured by both the Asthma Control Questionnaire 7 and the 32-item Asthma Quality of Life Questionnaire.

Similarly, daily symptom diaries showed "small or nonsignificant" differences between the active drug and the placebo groups in symptom-free days. And the use of rescue medications also was similar.

Adverse events occurred in 73.5% of the tiotropium group and 80.3% of the placebo group, and allergic rhinitis was the only one that occurred more often in the tiotropium group. Adverse events were judged to be treatment related in 5.7% of the tiotropium group and 4.6% of the placebo group.

Serious adverse events occurred in 8.1% of the tiotropium group and 8.8% of the placebo group. Three of those events – two asthma exacerbations and one cerebral infarction – occurred in the tiotropium group and were considered life threatening.

 

 

Cardiac events occurred in less than 2% of both study groups; they were considered drug related in 0.4% of patients in the tiotropium group and 0.2% of those in the placebo group. Adverse changes in blood pressure, pulse rate, laboratory measures, and electrocardiograms were balanced between the two study groups.

Less than 2% of all patients experienced dry mouth – a typical adverse event with anticholinergic agents – but it was reported more frequently in the tiotropium group (eight patients vs. three patients), Dr. Kerstjens and his associates said.

Dr. Kerstjens reported additional associations with Almirall, Chiesi, Novartis, and Nycomed, and his associates reported ties to numerous industry sources.

Adding tiotropium to standard combination therapy may help reduce exacerbations in some adults whose asthma is poorly controlled despite the use of inhaled glucocorticoids and long-acting beta-agonists, according to a report of two randomized, controlled trials published online Sept. 3 in the New England Journal of Medicine.

However, tiotropium use did not increase the number of symptom-free days or boost patients’ asthma-related quality of life scores.

Compared with placebo, tiotropium administered once daily via a soft-mist inhaler significantly lengthened the time to a severe exacerbation of asthma, reduced the number of exacerbations, and provided "modest" bronchodilation when added to inhaled glucocorticoids and LABAs, said Dr. Huib A. M. Kerstjens of the University of Groningen (the Netherlands) and the Groningen Research Institute for Asthma and COPD, and his associates (N. Engl. J. Med. 2012 Sept. 3 [doi:10.1056/NEJMoa1208606]).

However, the improvements in forced expiratory volume in 1 second (FEV1) were "relatively small (less than 10%)," and the number of symptom-free days did not differ between patients who received tiotropium and those who received placebo.

Moreover, the use of rescue medications was the same between the two groups, and patient ratings of asthma-related quality of life also were the same on two measures, the researchers noted.

Tiotropium is the most widely used long-acting anticholinergic inhaled bronchodilator in the world for the treatment of chronic obstructive pulmonary disease, but it has only recently been investigated as a potential adjunctive therapy for asthma.

Dr. Kerstjens and his colleagues assessed the drug’s effects in two 48-week randomized, controlled trials conducted in 15 countries, both of which were funded by Boehringer Ingelheim and Pfizer. They presented their findings at the annual meeting of the European Respiratory Society simultaneously with online publication.

The studies included 912 adults aged 18-75 years who had a 5-year or longer history of asthma and persistent airflow limitation despite self-reported daily use of inhaled glucocorticoids and LABAs. They were randomly assigned to self administer puffs of either tiotropium (237 patients in study 1 and 219 patients in study 2) or placebo (222 patients in study 1 and 234 patients in study 2) every morning as add-on therapy.

Patients were allowed to continue the use of stable doses of sustained-release theophylline, leukotriene modifiers, anti-immunoglobulin E antibody, or oral glucocorticoids, and were given open-label inhalers of salbutamol or albuterol for use as rescue medication.

The first two lung-function end points of both studies were the peak FEV1 response and the trough FEV1 response at week 24, expressed as the change from baseline FEV1. Tiotropium topped placebo in peak FEV1 response by an average of 86 mL in trial 1 and 154 mL in trial 2, differences that were significant.

The average difference in trough FEV1 response between tiotropium and placebo groups was 88 mL in trial 1 and 111 mL in trial 2. Those differences were "relatively small" but also statistically significant.

"It should be noted that [these differences occurred] in patients who were already receiving a long-acting bronchodilator and had fixed airflow limitation," the investigators noted. The results also should be considered "in the context of the need for additional treatments for this patient population and the limitations of current alternatives," they added.

A third lung-function end point was the time until at least 25% of patients had their first severe exacerbation of asthma. That interval was 56 days longer with tiotropium (282 days), compared with placebo (226 days).

The number of severe exacerbations was a secondary end point of both trials. That number was 0.53 exacerbations per patient-year with tiotropium, significantly fewer than the 0.66 per patient-year with placebo. In addition, 27% of patients in both tiotropium groups had at least one severe exacerbation, which was significantly less than the 33% rate in both placebo groups.

However, asthma-related quality of life did not differ significantly between tiotropium and placebo groups in either trial. The minimal clinically important difference between the two groups was not achieved when measured by both the Asthma Control Questionnaire 7 and the 32-item Asthma Quality of Life Questionnaire.

Similarly, daily symptom diaries showed "small or nonsignificant" differences between the active drug and the placebo groups in symptom-free days. And the use of rescue medications also was similar.

Adverse events occurred in 73.5% of the tiotropium group and 80.3% of the placebo group, and allergic rhinitis was the only one that occurred more often in the tiotropium group. Adverse events were judged to be treatment related in 5.7% of the tiotropium group and 4.6% of the placebo group.

Serious adverse events occurred in 8.1% of the tiotropium group and 8.8% of the placebo group. Three of those events – two asthma exacerbations and one cerebral infarction – occurred in the tiotropium group and were considered life threatening.

 

 

Cardiac events occurred in less than 2% of both study groups; they were considered drug related in 0.4% of patients in the tiotropium group and 0.2% of those in the placebo group. Adverse changes in blood pressure, pulse rate, laboratory measures, and electrocardiograms were balanced between the two study groups.

Less than 2% of all patients experienced dry mouth – a typical adverse event with anticholinergic agents – but it was reported more frequently in the tiotropium group (eight patients vs. three patients), Dr. Kerstjens and his associates said.

Dr. Kerstjens reported additional associations with Almirall, Chiesi, Novartis, and Nycomed, and his associates reported ties to numerous industry sources.

Publications
Publications
Topics
Article Type
Display Headline
Tiotropium Cut Exacerbations in Poorly Controlled Asthma
Display Headline
Tiotropium Cut Exacerbations in Poorly Controlled Asthma
Legacy Keywords
tiotropium asthma, glucocorticoids asthma, long-acting beta-agonists, bronchodilation, inhaled glucocorticoids
Legacy Keywords
tiotropium asthma, glucocorticoids asthma, long-acting beta-agonists, bronchodilation, inhaled glucocorticoids
Sections
Article Source

FROM THE NEW ENGLAND JOURNAL OF MEDICINE

PURLs Copyright

Inside the Article

Vitals

Major Finding: Compared with placebo, add-on tiotropium therapy extended the time to a severe asthma exacerbation by 56 days, and reduced the number of exacerbations by 0.13 per patient-year; but it did not improve quality of life, increase symptom-free days, or reduce the use of rescue medication.

Data Source: Two international, replicate, randomized, controlled trials comparing 48 weeks of adjunct therapy with inhaled tiotropium to placebo in 912 adults with asthma that was poorly controlled despite combination treatment with inhaled glucocorticoids and LABAs.

Disclosures: Boehringer Ingelheim and Pfizer funded the studies. Dr. Kerstjens reported additional associations with Almirall, Chiesi, Novartis, and Nycomed, and his associates reported ties to numerous industry sources.

Stopping LABA Therapy May Worsen Controlled Asthma

Results 'Shift the Burden of Proof'
Article Type
Changed
Display Headline
Stopping LABA Therapy May Worsen Controlled Asthma

Withdrawing long-acting beta-agonist therapy worsened refractory asthma that had been controlled with a combination of LABAs and inhaled corticosteroids, according to a meta-analysis published online Aug. 27 in Archives of Internal Medicine.

The findings run counter to the Food and Drug Administration’s black-box warning that patients should reduce use of LABAs such as salmeterol or formoterol once they achieve asthma control.

Stopping LABAs after achieving asthma control was associated with reduced asthma control, increased symptom frequency, increased use of rescue bronchodilators, decreased asthma-related quality of life, and similar rates of adverse events and serious adverse events, compared with continuing LABAs in combination therapy, according to the meta-analysis’ authors, who focused on the only five randomized, controlled clinical trials (RCTs) to examine this issue.

"Thus, in contrast to FDA recommendations of stepping off LABA therapy [once] asthma is controlled, our analysis supports the continued use of LABAs to maintain asthma control," said Dr. Jan L. Brozek of the department of clinical epidemiology and biostatistics and medicine, McMaster University, Hamilton, Ont., and his associates (Arch. Intern. Med. 2012 [doi:10.1001/archinternmed.2012.3250]).

However, they noted that this conclusion is based on the pooled results of only five studies, all of which had substantial limitations.

"An interesting and important finding is the paucity of studies evaluating this issue," Dr. Brozek and his colleagues said.

The researchers undertook the meta-analysis because of the ongoing controversy over whether to withdraw or continue LABA therapy once asthma is adequately controlled, as the FDA recommends in a black-box warning for the drugs.

The five RCTs included in the meta-analysis were all sponsored by the manufacturers of the study drugs. Four were published in peer-reviewed journals, and one was a conference abstract. All the RCTs involved adolescents or adults with at least a 6-month history of mild to moderate asthma, but four of the five trials did not specify whether combined therapy with inhaled corticosteroids and LABAs had been required to control symptoms at enrollment.

Compared with continued combination therapy, LABA step-down therapy was associated with an average 0.24-point drop in Asthma Quality of Life Questionnaire scores for control of asthma, 9.2% fewer symptom-free days, and an average of 0.71 more puffs/day from a rescue bronchodilator.

Despite the meta-analysis results, the investigators cautioned that the duration of well-controlled asthma on combination therapy was shorter than the 3 months that are recommended to adequately judge the treatment effect.

In addition, the studies included only 1,342 patients: 660 who gradually withdrew from LABA therapy, and 682 who continued on it.

None of the RCTs reported emergency department visits, unscheduled office visits for asthma, days missed from work or school, costs, or complications associated with the corticosteroids, the authors said. All were of short duration, none provided information on treatment adherence, and some had high dropout rates.

Nevertheless, "our findings likely represent the current best evidence about stepping off LABA therapy in patients with asthma," the investigators asserted.

The pooled analysis showed "no statistically significant results for any of the reported asthma outcomes of interest showing a benefit from [the] LABA step-off approach, compared with continued use of the same dose of inhaled corticosteroids and LABA," Dr. Brozek and his associates said.

Discontinuing LABA therapy significantly reduced asthma control and asthma-related quality of life. It increased symptom frequency and the use of rescue bronchodilators, and raised the risk that subjects would withdraw from the studies because of lack of efficacy or loss of asthma control. It also increased the need for oral corticosteroids but not to a statistically significant degree.

"Because of the paucity of data, we were unable to assess the critical issue of ... whether LABA use had any effect on catastrophic asthma events," they added.

"There is clearly a need for more properly designed and executed randomized trials aimed at rectifying differences between asthma guideline recommendations and FDA safety concerns," the investigators concluded.

The meta-analysis was supported by McMaster University, the American Academy of Allergy, Asthma, and Immunology, and the American Thoracic Society. The researchers reported ties to Abbott, Asthmatix, Astra-Zeneca, Boehringer Ingelheim, Eumedics, Genentech, GlaxoSmithKline, Johnson & Johnson, Merck, Novartis, and Sanofi-Aventis.

Body

While there is consensus that LABAs have no role as asthma monotherapy, the findings of Dr. Brozek and his colleagues "help shift the burden of proof" in the debate over stepped-down withdrawal of LABAs, said Dr. Chee M. Chan and Dr. Andrew F. Schorr.

The FDA black-box warning states that LABAs should be discontinued as soon as asthma control is achieved, but this meta-analysis shows that such withdrawal "results in loss of stability in multiple domains that capture different aspects of asthma control," they said.

"Physicians must now reevaluate the contents of the black box for LABAs, particularly in individuals whose asthma is well controlled with combination LABA and inhaled corticosteroid therapy."

Dr. Chan and Dr. Schorr are in the division of pulmonary and critical care medicine at Washington Hospital Center. They reported no financial conflicts of interest. These remarks were taken from the invited commentary accompanying Dr. Brozek’s report (Arch. Intern. Med. 2012 [doi:10.1001/archinternmed.2012.3650]).

Author and Disclosure Information

Publications
Topics
Legacy Keywords
Withdrawing long-acting beta-agonist therapy, worsened refractory asthma, LABA, inhaled corticosteroids, Archives of Internal Medicine, Food and Drug Administration’s black-box warning, reduce use of LABAs, salmeterol, formoterol, asthma control, rescue bronchodilators, Dr. Jan L. Brozek,
Sections
Author and Disclosure Information

Author and Disclosure Information

Body

While there is consensus that LABAs have no role as asthma monotherapy, the findings of Dr. Brozek and his colleagues "help shift the burden of proof" in the debate over stepped-down withdrawal of LABAs, said Dr. Chee M. Chan and Dr. Andrew F. Schorr.

The FDA black-box warning states that LABAs should be discontinued as soon as asthma control is achieved, but this meta-analysis shows that such withdrawal "results in loss of stability in multiple domains that capture different aspects of asthma control," they said.

"Physicians must now reevaluate the contents of the black box for LABAs, particularly in individuals whose asthma is well controlled with combination LABA and inhaled corticosteroid therapy."

Dr. Chan and Dr. Schorr are in the division of pulmonary and critical care medicine at Washington Hospital Center. They reported no financial conflicts of interest. These remarks were taken from the invited commentary accompanying Dr. Brozek’s report (Arch. Intern. Med. 2012 [doi:10.1001/archinternmed.2012.3650]).

Body

While there is consensus that LABAs have no role as asthma monotherapy, the findings of Dr. Brozek and his colleagues "help shift the burden of proof" in the debate over stepped-down withdrawal of LABAs, said Dr. Chee M. Chan and Dr. Andrew F. Schorr.

The FDA black-box warning states that LABAs should be discontinued as soon as asthma control is achieved, but this meta-analysis shows that such withdrawal "results in loss of stability in multiple domains that capture different aspects of asthma control," they said.

"Physicians must now reevaluate the contents of the black box for LABAs, particularly in individuals whose asthma is well controlled with combination LABA and inhaled corticosteroid therapy."

Dr. Chan and Dr. Schorr are in the division of pulmonary and critical care medicine at Washington Hospital Center. They reported no financial conflicts of interest. These remarks were taken from the invited commentary accompanying Dr. Brozek’s report (Arch. Intern. Med. 2012 [doi:10.1001/archinternmed.2012.3650]).

Title
Results 'Shift the Burden of Proof'
Results 'Shift the Burden of Proof'

Withdrawing long-acting beta-agonist therapy worsened refractory asthma that had been controlled with a combination of LABAs and inhaled corticosteroids, according to a meta-analysis published online Aug. 27 in Archives of Internal Medicine.

The findings run counter to the Food and Drug Administration’s black-box warning that patients should reduce use of LABAs such as salmeterol or formoterol once they achieve asthma control.

Stopping LABAs after achieving asthma control was associated with reduced asthma control, increased symptom frequency, increased use of rescue bronchodilators, decreased asthma-related quality of life, and similar rates of adverse events and serious adverse events, compared with continuing LABAs in combination therapy, according to the meta-analysis’ authors, who focused on the only five randomized, controlled clinical trials (RCTs) to examine this issue.

"Thus, in contrast to FDA recommendations of stepping off LABA therapy [once] asthma is controlled, our analysis supports the continued use of LABAs to maintain asthma control," said Dr. Jan L. Brozek of the department of clinical epidemiology and biostatistics and medicine, McMaster University, Hamilton, Ont., and his associates (Arch. Intern. Med. 2012 [doi:10.1001/archinternmed.2012.3250]).

However, they noted that this conclusion is based on the pooled results of only five studies, all of which had substantial limitations.

"An interesting and important finding is the paucity of studies evaluating this issue," Dr. Brozek and his colleagues said.

The researchers undertook the meta-analysis because of the ongoing controversy over whether to withdraw or continue LABA therapy once asthma is adequately controlled, as the FDA recommends in a black-box warning for the drugs.

The five RCTs included in the meta-analysis were all sponsored by the manufacturers of the study drugs. Four were published in peer-reviewed journals, and one was a conference abstract. All the RCTs involved adolescents or adults with at least a 6-month history of mild to moderate asthma, but four of the five trials did not specify whether combined therapy with inhaled corticosteroids and LABAs had been required to control symptoms at enrollment.

Compared with continued combination therapy, LABA step-down therapy was associated with an average 0.24-point drop in Asthma Quality of Life Questionnaire scores for control of asthma, 9.2% fewer symptom-free days, and an average of 0.71 more puffs/day from a rescue bronchodilator.

Despite the meta-analysis results, the investigators cautioned that the duration of well-controlled asthma on combination therapy was shorter than the 3 months that are recommended to adequately judge the treatment effect.

In addition, the studies included only 1,342 patients: 660 who gradually withdrew from LABA therapy, and 682 who continued on it.

None of the RCTs reported emergency department visits, unscheduled office visits for asthma, days missed from work or school, costs, or complications associated with the corticosteroids, the authors said. All were of short duration, none provided information on treatment adherence, and some had high dropout rates.

Nevertheless, "our findings likely represent the current best evidence about stepping off LABA therapy in patients with asthma," the investigators asserted.

The pooled analysis showed "no statistically significant results for any of the reported asthma outcomes of interest showing a benefit from [the] LABA step-off approach, compared with continued use of the same dose of inhaled corticosteroids and LABA," Dr. Brozek and his associates said.

Discontinuing LABA therapy significantly reduced asthma control and asthma-related quality of life. It increased symptom frequency and the use of rescue bronchodilators, and raised the risk that subjects would withdraw from the studies because of lack of efficacy or loss of asthma control. It also increased the need for oral corticosteroids but not to a statistically significant degree.

"Because of the paucity of data, we were unable to assess the critical issue of ... whether LABA use had any effect on catastrophic asthma events," they added.

"There is clearly a need for more properly designed and executed randomized trials aimed at rectifying differences between asthma guideline recommendations and FDA safety concerns," the investigators concluded.

The meta-analysis was supported by McMaster University, the American Academy of Allergy, Asthma, and Immunology, and the American Thoracic Society. The researchers reported ties to Abbott, Asthmatix, Astra-Zeneca, Boehringer Ingelheim, Eumedics, Genentech, GlaxoSmithKline, Johnson & Johnson, Merck, Novartis, and Sanofi-Aventis.

Withdrawing long-acting beta-agonist therapy worsened refractory asthma that had been controlled with a combination of LABAs and inhaled corticosteroids, according to a meta-analysis published online Aug. 27 in Archives of Internal Medicine.

The findings run counter to the Food and Drug Administration’s black-box warning that patients should reduce use of LABAs such as salmeterol or formoterol once they achieve asthma control.

Stopping LABAs after achieving asthma control was associated with reduced asthma control, increased symptom frequency, increased use of rescue bronchodilators, decreased asthma-related quality of life, and similar rates of adverse events and serious adverse events, compared with continuing LABAs in combination therapy, according to the meta-analysis’ authors, who focused on the only five randomized, controlled clinical trials (RCTs) to examine this issue.

"Thus, in contrast to FDA recommendations of stepping off LABA therapy [once] asthma is controlled, our analysis supports the continued use of LABAs to maintain asthma control," said Dr. Jan L. Brozek of the department of clinical epidemiology and biostatistics and medicine, McMaster University, Hamilton, Ont., and his associates (Arch. Intern. Med. 2012 [doi:10.1001/archinternmed.2012.3250]).

However, they noted that this conclusion is based on the pooled results of only five studies, all of which had substantial limitations.

"An interesting and important finding is the paucity of studies evaluating this issue," Dr. Brozek and his colleagues said.

The researchers undertook the meta-analysis because of the ongoing controversy over whether to withdraw or continue LABA therapy once asthma is adequately controlled, as the FDA recommends in a black-box warning for the drugs.

The five RCTs included in the meta-analysis were all sponsored by the manufacturers of the study drugs. Four were published in peer-reviewed journals, and one was a conference abstract. All the RCTs involved adolescents or adults with at least a 6-month history of mild to moderate asthma, but four of the five trials did not specify whether combined therapy with inhaled corticosteroids and LABAs had been required to control symptoms at enrollment.

Compared with continued combination therapy, LABA step-down therapy was associated with an average 0.24-point drop in Asthma Quality of Life Questionnaire scores for control of asthma, 9.2% fewer symptom-free days, and an average of 0.71 more puffs/day from a rescue bronchodilator.

Despite the meta-analysis results, the investigators cautioned that the duration of well-controlled asthma on combination therapy was shorter than the 3 months that are recommended to adequately judge the treatment effect.

In addition, the studies included only 1,342 patients: 660 who gradually withdrew from LABA therapy, and 682 who continued on it.

None of the RCTs reported emergency department visits, unscheduled office visits for asthma, days missed from work or school, costs, or complications associated with the corticosteroids, the authors said. All were of short duration, none provided information on treatment adherence, and some had high dropout rates.

Nevertheless, "our findings likely represent the current best evidence about stepping off LABA therapy in patients with asthma," the investigators asserted.

The pooled analysis showed "no statistically significant results for any of the reported asthma outcomes of interest showing a benefit from [the] LABA step-off approach, compared with continued use of the same dose of inhaled corticosteroids and LABA," Dr. Brozek and his associates said.

Discontinuing LABA therapy significantly reduced asthma control and asthma-related quality of life. It increased symptom frequency and the use of rescue bronchodilators, and raised the risk that subjects would withdraw from the studies because of lack of efficacy or loss of asthma control. It also increased the need for oral corticosteroids but not to a statistically significant degree.

"Because of the paucity of data, we were unable to assess the critical issue of ... whether LABA use had any effect on catastrophic asthma events," they added.

"There is clearly a need for more properly designed and executed randomized trials aimed at rectifying differences between asthma guideline recommendations and FDA safety concerns," the investigators concluded.

The meta-analysis was supported by McMaster University, the American Academy of Allergy, Asthma, and Immunology, and the American Thoracic Society. The researchers reported ties to Abbott, Asthmatix, Astra-Zeneca, Boehringer Ingelheim, Eumedics, Genentech, GlaxoSmithKline, Johnson & Johnson, Merck, Novartis, and Sanofi-Aventis.

Publications
Publications
Topics
Article Type
Display Headline
Stopping LABA Therapy May Worsen Controlled Asthma
Display Headline
Stopping LABA Therapy May Worsen Controlled Asthma
Legacy Keywords
Withdrawing long-acting beta-agonist therapy, worsened refractory asthma, LABA, inhaled corticosteroids, Archives of Internal Medicine, Food and Drug Administration’s black-box warning, reduce use of LABAs, salmeterol, formoterol, asthma control, rescue bronchodilators, Dr. Jan L. Brozek,
Legacy Keywords
Withdrawing long-acting beta-agonist therapy, worsened refractory asthma, LABA, inhaled corticosteroids, Archives of Internal Medicine, Food and Drug Administration’s black-box warning, reduce use of LABAs, salmeterol, formoterol, asthma control, rescue bronchodilators, Dr. Jan L. Brozek,
Sections
Article Source

FROM ARCHIVES OF INTERNAL MEDICINE

PURLs Copyright

Inside the Article

Vitals

Major Finding: Compared with combination long-acting beta-agonist and inhaled corticosteroid therapy for controlled refractory asthma, LABA step-down therapy was associated with an average 0.24-point drop in Asthma Quality of Life Questionnaire scores for control of asthma, 9.2% fewer symptom-free days, and an average of 0.71 more puffs/day from a rescue bronchodilator.

Data Source: A meta-analysis of five randomized, controlled clinical trials involving 1,342 adolescents and adults with asthma who either stepped off LABA therapy (660 patients) or continued LABA therapy (682 patients) after achieving control.

Disclosures: This meta-analysis was supported by McMaster University, the American Academy of Allergy, Asthma, and Immunology, and the American Thoracic Society. The researchers reported ties to Abbott, Asthmatix, Astra-Zeneca, Boehringer Ingelheim, Eumedics, Genentech, GlaxoSmithKline, Johnson & Johnson, Merck, Novartis, and Sanofi-Aventis.