Conservative management of endometrial hyperplasia: New strategies and experimental options

Article Type
Changed
Display Headline
Conservative management of endometrial hyperplasia: New strategies and experimental options

KEY POINTS

  • Untreated, atypical endometrial hyperplasia progresses to adenocarcinoma in 23% of patients, persists as hyperplasia in 19%, and regresses in 58%.
  • A review of 4 large studies found that progestin was associated with regression in 90% of women with hyperplasia arising from unopposed estrogen therapy. Several small retrospective studies found that progestin was likely to induce regression of atypical hyperplasia unrelated to estrogen therapy.
  • Gonadotropin-releasing hormone analogues appear to be effective for hyperplasia without atypia.

Although many gynecologists proceed to hysterectomy when hyperplasia with cellular atypia is found on an endometrial biopsy or curettage specimen, a number of conservative therapies are particularly useful for younger patients who wish to preserve fertility, and for women who do not desire or cannot undergo hysterectomy.

Prevalence and risk factors

Endometrial hyperplasia is a precursor to endometrial carcinoma, the most common malignancy of the female reproductive tract. In 2003, endometrial cancer is expected to account for approximately 6% of new female cancer cases and 3% of female cancer deaths.1

Besides endometrial hyperplasia, prominent risk factors for carcinoma are unopposed estrogen therapy, obesity, diabetes, early menarche, and late menopause.2

Classifying endometrial hyperplasia

In 1985, Kurman et al3 clarified the classification system for endometrial hyperplasia, proposing 2 broad categories: simple and complex (TABLE 1).

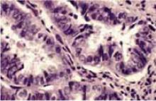
Simple hyperplasia is characterized by benign proliferation of endometrial glands, which are irregular and perhaps dilated, but which lack back-to-back crowding or cellular atypia (FIGURE 1).

Complex hyperplasia is characterized by grossly irregular endometrium and abnormal vasculature. It exhibits proliferation of endometrial glands with irregular outlines, architectural complexity, and back-to-back crowding but no atypia.

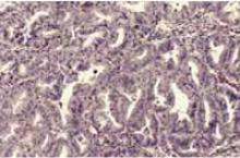
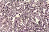
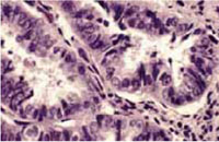
Presence or absence of atypia characterizes subdivisions of these 2 categories by degree of nuclear atypia and loss of polarity. Atypia can be found in both complex (FIGURE 2) and simple hyperplastic lesions.

TABLE 1

Classification of endometrial hyperplasia

CLASSIFICATIONDESCRIPTION
SimpleBenign proliferation of endometrial glands that are irregular and perhaps dilated but do not display back-to-back crowding or cellular atypia
ComplexProliferation of endometrial glands with irregular outlines, architectural complexity, and back-to-back crowding but no atypia
AtypicalVarying degrees of nuclear atypia and loss of polarity. Found in both simple and complex hyperplastic lesions
Data from: Kurman et al3

FIGURE 1 Simple hyperplasia without atypia


Simple hyperplasia with irregular glands but no back-to-back crowding or cellular atypia (hematoxylin & eosin×100).

High-power magnification of simple hyperplasia without atypia. The nuclei are uniform without cellular atypia (hematoxylin & eosin×400).

A majority of hyperplastic lesions regress

In their sentinel article on the classification of endometrial hyperplasia, Kurman et al3 describe the behavior of the 4 categories of endometrial hyperplasia in 170 patients (TABLE 2). They found that, during a mean follow-up of 11.4 years, disease regressed in 69% of patients with simple atypical hyperplasia, 57% of patients with complex atypical hyperplasia, and 58% of patients with hyperplasia with cellular atypia.

Disease progressed to carcinoma in 8% of patients with simple atypical hyperplasia, 29% of patients with complex atypical hyperplasia, and 23% of patients with hyperplasia with cellular atypia.

One patient with disease progression had stage IV endometrial carcinoma with metastasis to the inguinal lymph nodes and bowel.3

The average age for patients with atypia was 40; 38% of patients were 35 or younger.

In a similar study involving 77 women with hyperplasia, 79% of cases with simple hyperplasia regressed over the 3 years of follow-up, as did the 1 case (100%) of simple hyperplasia with atypia, 94% of cases with complex hyperplasia, and 55% of cases with complex hyperplasia with atypia. Only 1 patient experienced progression to endometrial carcinoma; she initially had complex atypical hyperplasia.4

With proper monitoring, oral progestin therapy is a reasonable alternative to hysterectomy for treatment of hyperplasia.

TABLE 2

Regression, persistence, and progression rates of endometrial hyperplasia

TYPEN%REGRESSION% PERSISTENCE% PROGRESSION
Simple9380191
Simple with atypia1369238
Complex2980173
Complex with atypia35571429
All lesions with atypia48581923
Source: Kurman RJ, et al. Cancer. 1985;56:403-412. Copyright ©2003 American Cancer Society. Reprinted by permission of Wiley-Liss, Inc, a subsidiary of John Wiley & Sons, Inc.

Progestin therapy enhances regression

Because endometrial hyperplasia is estrogendependent, progestins are often used to induce regression. Progestin appears to decrease glandular cellularity in these lesions by triggering apoptosis.5 In addition, medroxyprogesterone acetate (MPA) significantly inhibits angiogenesis in the myometrium immediately underlying complex endometrial hyperplasia.6

Oral administration.

  • Simple or complex hyperplasia associated with estrogen therapy. A recent review of 4 large trials suggests that hyperplasia induced by estrogen therapy responds well to progestin treatment regardless of whether the disease is simple or complex. In the 4 trials, estrogen was discontinued and MPA was given continuously for 6 weeks or cyclically for 3 months.7 Both regimens were effective, with a total regression rate of 90% for all 4 studies.
  • Atypical hyperplasia unrelated to estrogen therapy. Several small retrospective studies demonstrated a beneficial effect of progestin treatment of atypical hyperplasia unrelated to estrogen therapy.
 

 

In a trial by Randall and Kurman,8 17 women with atypical endometrial hyperplasia were given either MPA or megestrol acetate for 3 to 12 months. Disease regressed in 16 of these patients—to either no hyperplasia (13 patients) or complex hyperplasia without atypia (3 patients). The remaining patient had persistent atypical hyperplasia after 4 months of treatment with megestrol. One of the women with disease regression subsequently became pregnant and delivered a full-term infant.8

A similar study examined 18 patients with atypical hyperplasia who were treated with MPA for 6 to 12 months.9 Fifteen patients had regression of disease; of these, 4 subsequently became pregnant and delivered full-term infants. One patient treated with MPA for 3 months had progression of disease to well-differentiated adenocarcinoma. The remaining 2 patients had persistent disease despite 3 to 6 months of progestin therapy.9

  • Clinical recommendations.

Dosage. Oral megestrol 80 to 120 mg daily or oral MPA 10 to 30 mg daily for approximately 6 months has been shown to cause regression to loss of atypia in 94% of patients with complex atypical hyperplasia and to normal endometrium in 81% of patients.8

Follow-up endometrial sampling. Patients on this regimen should undergo endometrial sampling every 2 to 3 months during therapy until regression to no hyperplasia is evident. Thereafter, sampling should be every 6 to 12 months because recurrence is possible.

When such monitoring is implemented, oral progestin therapy is reasonable, and oral progestin therapy is reasonable, and MPA and megestrol are acceptable choices even in the presence of atypia.

Other routes of administration. A number of investigators have examined the effectiveness of non-oral progestins. Although more studies are needed before their routine clinical use can be advised, the data are encouraging.

  • Intramuscular progesterone therapy. In a large prospective study, 192 patients with atypical endometrial hyperplasia were given large weekly doses (500 mg) of intramuscular MPA therapy for 3 months; 96.4% experienced loss of atypia on follow-up curettage specimens.10
  • Micronized progesterone vaginal cream was studied in a trial in which 78 patients who had hyperplasia without atypia (60 simple and 18 complex) were treated with cyclic natural micronized progesterone for 3 to 6 months; 90.5% had complete regression of hyperplasia.11
  • Levonorgestrel intrauterine devices.Perino et al12 studied the effects of levonorgestrel in 14 patients with endometrial hyperplasia (1 with atypia) over a 1-year period. In all cases without atypia, the hyperplasia regressed within 8 months. The sole patient with atypia experienced regression to hyperplasia without atypia in 2 months.

FIGURE 2 Complex hyperplasia with atypia


Photograph taken at hysteroscopy displaying shaggy, irregular endometrium with abnormal blood vessels. Microscopic examination revealed complex endometrial hyperplasia with atypia.

Photomicrograph of the curettage specimen (hematoxylin & eosin×100). At this magnification, complex endometrial hyperplasia with back-to-back glandular crowding is evident.

Photomicrograph of the curettage specimen (hematoxylin & eosin×400). Note the heterogeneous nuclei with prominent nucleoli.

Gonadotropin-releasing hormone analogues offer promise

Gonadotropin-releasing hormone (GnRH) analogues suppress the hypothalamicpituitary-ovarian axis, thereby inhibiting estrogen production and, potentially, causing the regression of endometrial hyperplasia. GnRH analogues also appear to have a direct antiproliferative effect on endometrial cells.13

In an investigation of 54 patients given intramuscular GnRH analogues for 6 months, approximately 85% of patients with simple or complex hyperplasia without atypia demonstrated regression to normal endometrium. Of the 3 women with complex atypical hyperplasia, however, only 1 had regression to hyperplasia without atypia, and the other 2 had persistent disease.14

Perez-Medina et al15 gave 19 patients with complex atypical hyperplasia a combination of progestin and GnRH analogues and followed them for 5 years. Patients received intramuscular MPA for 3 months, with 6 months of intramuscular GnRH analogues. Sixteen patients (84.2%) had complete regression at the 5-year follow-up, and 1 patient had persistent disease. One patient had a recurrence of disease at 5 years, and, in another, disease progressed to stage I endometrial adenocarcinoma.15

Clinical recommendations. GnRH analogues appear to be an effective treatment for hyperplasia without atypia, whether simple or complex. At this time, a standardized treatment protocol cannot be recommended without additional data. However, using a GnRH analogue for 6 months with sampling every 3 months is a reasonable option in patients without atypia.

Although the combination of progestin and GnRH agonists increases effectiveness against atypical hyperplasia, and therefore offers promise for patients desiring conservative therapy, existing trials are too small to define a standardized treatment option. Further study is needed before GnRH analogues can be recommended for clinical use in patients with atypical hyperplasia.

Encouraging reports on surgical modalities

Other surgical options have been investigated, but larger studies are needed to determine their safety and efficacy before they can be routinely recommended for women with hyperplasia who refuse hormonal therapy and hysterectomy, or for those who cannot undergo hysterectomy.

 

 

Larger studies are needed before surgical alternatives to hysterectomy can be routinely recommended for hyperplasia.

Thermal balloon ablation. Minassian and Mira16 reported use of thermal balloon ablation of the endometrium in a patient with complex endometrial hyperplasia with atypia.

The patient initially presented with a complaint of menorrhagia and had a preoperative endometrial biopsy that showed no evidence of hyperplasia. When she subsequently underwent a thermal balloon ablation procedure, a curettage specimen indicated complex hyperplasia with atypia. The patient underwent a hysterectomy 8 months later, at which time no pathologic evidence of persistent hyperplasia or carcinoma was found.

However, the authors recommend that ablation be avoided if hyperplasia is found on a preoperative sample, since postoperative surveillance of the endometrium would be impaired.16 This is also true for laser and resectoscopic therapy, since postoperative sampling would be potentially altered.

Laser therapy. Vilos and Ettler17 reported another case in which a patient with complex atypical hyperplasia underwent laser intrauterine thermal therapy. After 13 months of surveillance with transvaginal sonography, there was no evidence of disease.

Resectoscopic surgery also has been investigated in the treatment of atypical endometrial hyperplasia. Vilos et al18 successfully treated 8 patients using hysteroscopic endometrial resection. A larger study involving 73 women with hyperplasia without atypia showed complete regression in 71 of the 73 patients over an average of 34 months of follow-up.19

Abandon conservative therapy if hyperplasia persists after 12 months of treatment.

Patient counseling and follow-up

In women who wish to preserve fertility, management of endometrial hyperplasia can be a challenge. Fortunately, we now have sound data indicating that conservative treatment can be used for certain patients.

Regardless of the approach selected, thoroughly counsel patients about their options and follow-up closely.

When to change course

A bandon conservative therapy if progression to carcinoma is found during surveillance sampling or if hyperplasia persists after 12 months of treatment.

The authors express their gratitude to Ms. Karen Roeder for her assistance in formatting and preparing the figures.

The authors report no financial relationship with any companies whose products are mentioned in this article.

This work is supported in part by the Georgia Cancer Coalition.

References

1. Jemal A, Murray T, Samuels A, et al. Cancer statistics, 2003. CA Cancer J Clin. 2003;53:5-26.

2. Ricci E, Moroni S, Parazzini F, et al. Risk factors for endometrial hyperplasia: results from a case-control study. Int J Gynecol Cancer. 2002;12:257-260.

3. Kurman RJ, Kaminski PF, Norris HJ. The behavior of endometrial hyperplasia: a long-term study of “untreated”hyperplasia in 170 patients. Cancer. 1985;56:403-412.

4. Tabata T, Yamawaki T, Yabana T, et al. Natural history of endometrial hyperplasia: study of 77 patients. Arch Gynecol Obstet. 2001;265:85-88.

5. Amezcua CA, Lu JJ, Felix JC, et al. Apoptosis may be an early event of progestin therapy for endometrial hyperplasia. Gynecol Oncol. 2000;79:169-176.

6. Abulafia O, Triest WE, Adcock JT, et al. The effect of medroxyprogesterone acetate on angiogenesis in complex endometrial hyperplasia. Gynecol Oncol. 1999;72:193-198.

7. Figueroa-Casas PR, Ettinger B, Delgado E, et al. Reversal by medical treatment of endometrial hyperplasia caused by estrogen replacement therapy. Menopause. 2001;8:420-423.

8. Randall TC, Kurman RJ. Progestin treatment of atypical hyperplasia and well-differentiated carcinoma of the endometrium in women under age 40. Obstet Gynecol. 1997;90:434-440.

9. Kaku T, Yoshikawa H, Tsuda H, et al. Conservative therapy for adenocarcinoma and atypical endometrial hyperplasia of the endometrium in young women: a central pathologic review and treatment outcome. Cancer Lett. 2001;167:39-48.

10. Kobiashvili H, Charkviani L, Charkviani T. Organ preserving method in the management of atypical endometrial hyperplasia. Eur J Gynaecol Oncol. 2001;12:297-299.

11. Affinito P, DiCarlo C, DiMauro P, et al. Endometrial hyperplasia: efficacy of a new treatment with a vaginal cream containing natural micronized progesterone. Maturitas. 1995;20:191-198.

12. Perino A, Quartararo P, Catinella E, et al. Treatment of endometrial hyperplasia with levonorgestrel releasing intrauterine devices. Acta Eur Fertil. 1987;18:137-140.

13. Agorastos T, Bontis J, Vakiani TO, et al. Treatment of endometrial hyperplasia with gonadotropin-releasing hormone agonists: pathological, clinical, morphometric, and DNA-cytometric data. Gynecol Oncol. 1997;65:102-114.

14. Grimbizis G, Tsalikis T, Tzioufa V, et al. Regression of endometrial hyperplasia after treatment with gonadotrophin-releasing hormone analogue triptorelin: a prospective study. Hum Reprod. 1999;14:479-484.

15. Perez-Medina T, Bajo J, Folgueira G, et al. Atypical endometrial hyperplasia treatment with progesterone and gonadotropin-releasing hormone analogues: longterm follow-up. Gynecol Oncol. 1999;73:299-304.

16. Minassian VA, Mira JL. Balloon thermoablation in a woman with complex endometrial hyperplasia with atypia: a case report. J Reprod Med. 2001;46:933-936.

17. Vilos GA, Ettler HC. Atypical complex endometrial hyperplasia treated with the GyneLase system. J Am Assoc Gynecol Laparosc. 2002;9:73-78.

18. Vilos GA, Harding PG, Ettler HC. Resectoscopic surgery in 10 women with abnormal uterine bleeding and atypical endometrial hyperplasia. J Am Assoc Gynecol Laparosc. 2002;9:138-144.

19. Cianferoni L, Giannini A, Franchini M. Hysteroscopic resection of endometrial hyperplasia. J Am Assoc Gynecol Laparosc. 1999;6:151-154.

Article PDF
Author and Disclosure Information

ALEX J. CHILDS, MD
WILLIAM E. CHECK, MD
WILLIAM J. HOSKINS, MD
Dr. Childs is a third-year resident in obstetrics and gynecology and Dr. Check is associate director of pathology, Memorial Health University Medical Center, Savannah, Ga. Dr. Hoskins is director, Curtis and Elizabeth Anderson Cancer Center, Memorial Health University Medical Center, Savannah, Ga, and is a distinguished Cancer Clinician Scientist of the state of Georgia. He also serves on the OBG ManagementBoard of Editors.

Issue
OBG Management - 15(09)
Publications
Page Number
15-26
Sections
Author and Disclosure Information

ALEX J. CHILDS, MD
WILLIAM E. CHECK, MD
WILLIAM J. HOSKINS, MD
Dr. Childs is a third-year resident in obstetrics and gynecology and Dr. Check is associate director of pathology, Memorial Health University Medical Center, Savannah, Ga. Dr. Hoskins is director, Curtis and Elizabeth Anderson Cancer Center, Memorial Health University Medical Center, Savannah, Ga, and is a distinguished Cancer Clinician Scientist of the state of Georgia. He also serves on the OBG ManagementBoard of Editors.

Author and Disclosure Information

ALEX J. CHILDS, MD
WILLIAM E. CHECK, MD
WILLIAM J. HOSKINS, MD
Dr. Childs is a third-year resident in obstetrics and gynecology and Dr. Check is associate director of pathology, Memorial Health University Medical Center, Savannah, Ga. Dr. Hoskins is director, Curtis and Elizabeth Anderson Cancer Center, Memorial Health University Medical Center, Savannah, Ga, and is a distinguished Cancer Clinician Scientist of the state of Georgia. He also serves on the OBG ManagementBoard of Editors.

Article PDF
Article PDF

KEY POINTS

  • Untreated, atypical endometrial hyperplasia progresses to adenocarcinoma in 23% of patients, persists as hyperplasia in 19%, and regresses in 58%.
  • A review of 4 large studies found that progestin was associated with regression in 90% of women with hyperplasia arising from unopposed estrogen therapy. Several small retrospective studies found that progestin was likely to induce regression of atypical hyperplasia unrelated to estrogen therapy.
  • Gonadotropin-releasing hormone analogues appear to be effective for hyperplasia without atypia.

Although many gynecologists proceed to hysterectomy when hyperplasia with cellular atypia is found on an endometrial biopsy or curettage specimen, a number of conservative therapies are particularly useful for younger patients who wish to preserve fertility, and for women who do not desire or cannot undergo hysterectomy.

Prevalence and risk factors

Endometrial hyperplasia is a precursor to endometrial carcinoma, the most common malignancy of the female reproductive tract. In 2003, endometrial cancer is expected to account for approximately 6% of new female cancer cases and 3% of female cancer deaths.1

Besides endometrial hyperplasia, prominent risk factors for carcinoma are unopposed estrogen therapy, obesity, diabetes, early menarche, and late menopause.2

Classifying endometrial hyperplasia

In 1985, Kurman et al3 clarified the classification system for endometrial hyperplasia, proposing 2 broad categories: simple and complex (TABLE 1).

Simple hyperplasia is characterized by benign proliferation of endometrial glands, which are irregular and perhaps dilated, but which lack back-to-back crowding or cellular atypia (FIGURE 1).

Complex hyperplasia is characterized by grossly irregular endometrium and abnormal vasculature. It exhibits proliferation of endometrial glands with irregular outlines, architectural complexity, and back-to-back crowding but no atypia.

Presence or absence of atypia characterizes subdivisions of these 2 categories by degree of nuclear atypia and loss of polarity. Atypia can be found in both complex (FIGURE 2) and simple hyperplastic lesions.

TABLE 1

Classification of endometrial hyperplasia

CLASSIFICATIONDESCRIPTION
SimpleBenign proliferation of endometrial glands that are irregular and perhaps dilated but do not display back-to-back crowding or cellular atypia
ComplexProliferation of endometrial glands with irregular outlines, architectural complexity, and back-to-back crowding but no atypia
AtypicalVarying degrees of nuclear atypia and loss of polarity. Found in both simple and complex hyperplastic lesions
Data from: Kurman et al3

FIGURE 1 Simple hyperplasia without atypia


Simple hyperplasia with irregular glands but no back-to-back crowding or cellular atypia (hematoxylin & eosin×100).

High-power magnification of simple hyperplasia without atypia. The nuclei are uniform without cellular atypia (hematoxylin & eosin×400).

A majority of hyperplastic lesions regress

In their sentinel article on the classification of endometrial hyperplasia, Kurman et al3 describe the behavior of the 4 categories of endometrial hyperplasia in 170 patients (TABLE 2). They found that, during a mean follow-up of 11.4 years, disease regressed in 69% of patients with simple atypical hyperplasia, 57% of patients with complex atypical hyperplasia, and 58% of patients with hyperplasia with cellular atypia.

Disease progressed to carcinoma in 8% of patients with simple atypical hyperplasia, 29% of patients with complex atypical hyperplasia, and 23% of patients with hyperplasia with cellular atypia.

One patient with disease progression had stage IV endometrial carcinoma with metastasis to the inguinal lymph nodes and bowel.3

The average age for patients with atypia was 40; 38% of patients were 35 or younger.

In a similar study involving 77 women with hyperplasia, 79% of cases with simple hyperplasia regressed over the 3 years of follow-up, as did the 1 case (100%) of simple hyperplasia with atypia, 94% of cases with complex hyperplasia, and 55% of cases with complex hyperplasia with atypia. Only 1 patient experienced progression to endometrial carcinoma; she initially had complex atypical hyperplasia.4

With proper monitoring, oral progestin therapy is a reasonable alternative to hysterectomy for treatment of hyperplasia.

TABLE 2

Regression, persistence, and progression rates of endometrial hyperplasia

TYPEN%REGRESSION% PERSISTENCE% PROGRESSION
Simple9380191
Simple with atypia1369238
Complex2980173
Complex with atypia35571429
All lesions with atypia48581923
Source: Kurman RJ, et al. Cancer. 1985;56:403-412. Copyright ©2003 American Cancer Society. Reprinted by permission of Wiley-Liss, Inc, a subsidiary of John Wiley & Sons, Inc.

Progestin therapy enhances regression

Because endometrial hyperplasia is estrogendependent, progestins are often used to induce regression. Progestin appears to decrease glandular cellularity in these lesions by triggering apoptosis.5 In addition, medroxyprogesterone acetate (MPA) significantly inhibits angiogenesis in the myometrium immediately underlying complex endometrial hyperplasia.6

Oral administration.

  • Simple or complex hyperplasia associated with estrogen therapy. A recent review of 4 large trials suggests that hyperplasia induced by estrogen therapy responds well to progestin treatment regardless of whether the disease is simple or complex. In the 4 trials, estrogen was discontinued and MPA was given continuously for 6 weeks or cyclically for 3 months.7 Both regimens were effective, with a total regression rate of 90% for all 4 studies.
  • Atypical hyperplasia unrelated to estrogen therapy. Several small retrospective studies demonstrated a beneficial effect of progestin treatment of atypical hyperplasia unrelated to estrogen therapy.
 

 

In a trial by Randall and Kurman,8 17 women with atypical endometrial hyperplasia were given either MPA or megestrol acetate for 3 to 12 months. Disease regressed in 16 of these patients—to either no hyperplasia (13 patients) or complex hyperplasia without atypia (3 patients). The remaining patient had persistent atypical hyperplasia after 4 months of treatment with megestrol. One of the women with disease regression subsequently became pregnant and delivered a full-term infant.8

A similar study examined 18 patients with atypical hyperplasia who were treated with MPA for 6 to 12 months.9 Fifteen patients had regression of disease; of these, 4 subsequently became pregnant and delivered full-term infants. One patient treated with MPA for 3 months had progression of disease to well-differentiated adenocarcinoma. The remaining 2 patients had persistent disease despite 3 to 6 months of progestin therapy.9

  • Clinical recommendations.

Dosage. Oral megestrol 80 to 120 mg daily or oral MPA 10 to 30 mg daily for approximately 6 months has been shown to cause regression to loss of atypia in 94% of patients with complex atypical hyperplasia and to normal endometrium in 81% of patients.8

Follow-up endometrial sampling. Patients on this regimen should undergo endometrial sampling every 2 to 3 months during therapy until regression to no hyperplasia is evident. Thereafter, sampling should be every 6 to 12 months because recurrence is possible.

When such monitoring is implemented, oral progestin therapy is reasonable, and oral progestin therapy is reasonable, and MPA and megestrol are acceptable choices even in the presence of atypia.

Other routes of administration. A number of investigators have examined the effectiveness of non-oral progestins. Although more studies are needed before their routine clinical use can be advised, the data are encouraging.

  • Intramuscular progesterone therapy. In a large prospective study, 192 patients with atypical endometrial hyperplasia were given large weekly doses (500 mg) of intramuscular MPA therapy for 3 months; 96.4% experienced loss of atypia on follow-up curettage specimens.10
  • Micronized progesterone vaginal cream was studied in a trial in which 78 patients who had hyperplasia without atypia (60 simple and 18 complex) were treated with cyclic natural micronized progesterone for 3 to 6 months; 90.5% had complete regression of hyperplasia.11
  • Levonorgestrel intrauterine devices.Perino et al12 studied the effects of levonorgestrel in 14 patients with endometrial hyperplasia (1 with atypia) over a 1-year period. In all cases without atypia, the hyperplasia regressed within 8 months. The sole patient with atypia experienced regression to hyperplasia without atypia in 2 months.

FIGURE 2 Complex hyperplasia with atypia


Photograph taken at hysteroscopy displaying shaggy, irregular endometrium with abnormal blood vessels. Microscopic examination revealed complex endometrial hyperplasia with atypia.

Photomicrograph of the curettage specimen (hematoxylin & eosin×100). At this magnification, complex endometrial hyperplasia with back-to-back glandular crowding is evident.

Photomicrograph of the curettage specimen (hematoxylin & eosin×400). Note the heterogeneous nuclei with prominent nucleoli.

Gonadotropin-releasing hormone analogues offer promise

Gonadotropin-releasing hormone (GnRH) analogues suppress the hypothalamicpituitary-ovarian axis, thereby inhibiting estrogen production and, potentially, causing the regression of endometrial hyperplasia. GnRH analogues also appear to have a direct antiproliferative effect on endometrial cells.13

In an investigation of 54 patients given intramuscular GnRH analogues for 6 months, approximately 85% of patients with simple or complex hyperplasia without atypia demonstrated regression to normal endometrium. Of the 3 women with complex atypical hyperplasia, however, only 1 had regression to hyperplasia without atypia, and the other 2 had persistent disease.14

Perez-Medina et al15 gave 19 patients with complex atypical hyperplasia a combination of progestin and GnRH analogues and followed them for 5 years. Patients received intramuscular MPA for 3 months, with 6 months of intramuscular GnRH analogues. Sixteen patients (84.2%) had complete regression at the 5-year follow-up, and 1 patient had persistent disease. One patient had a recurrence of disease at 5 years, and, in another, disease progressed to stage I endometrial adenocarcinoma.15

Clinical recommendations. GnRH analogues appear to be an effective treatment for hyperplasia without atypia, whether simple or complex. At this time, a standardized treatment protocol cannot be recommended without additional data. However, using a GnRH analogue for 6 months with sampling every 3 months is a reasonable option in patients without atypia.

Although the combination of progestin and GnRH agonists increases effectiveness against atypical hyperplasia, and therefore offers promise for patients desiring conservative therapy, existing trials are too small to define a standardized treatment option. Further study is needed before GnRH analogues can be recommended for clinical use in patients with atypical hyperplasia.

Encouraging reports on surgical modalities

Other surgical options have been investigated, but larger studies are needed to determine their safety and efficacy before they can be routinely recommended for women with hyperplasia who refuse hormonal therapy and hysterectomy, or for those who cannot undergo hysterectomy.

 

 

Larger studies are needed before surgical alternatives to hysterectomy can be routinely recommended for hyperplasia.

Thermal balloon ablation. Minassian and Mira16 reported use of thermal balloon ablation of the endometrium in a patient with complex endometrial hyperplasia with atypia.

The patient initially presented with a complaint of menorrhagia and had a preoperative endometrial biopsy that showed no evidence of hyperplasia. When she subsequently underwent a thermal balloon ablation procedure, a curettage specimen indicated complex hyperplasia with atypia. The patient underwent a hysterectomy 8 months later, at which time no pathologic evidence of persistent hyperplasia or carcinoma was found.

However, the authors recommend that ablation be avoided if hyperplasia is found on a preoperative sample, since postoperative surveillance of the endometrium would be impaired.16 This is also true for laser and resectoscopic therapy, since postoperative sampling would be potentially altered.

Laser therapy. Vilos and Ettler17 reported another case in which a patient with complex atypical hyperplasia underwent laser intrauterine thermal therapy. After 13 months of surveillance with transvaginal sonography, there was no evidence of disease.

Resectoscopic surgery also has been investigated in the treatment of atypical endometrial hyperplasia. Vilos et al18 successfully treated 8 patients using hysteroscopic endometrial resection. A larger study involving 73 women with hyperplasia without atypia showed complete regression in 71 of the 73 patients over an average of 34 months of follow-up.19

Abandon conservative therapy if hyperplasia persists after 12 months of treatment.

Patient counseling and follow-up

In women who wish to preserve fertility, management of endometrial hyperplasia can be a challenge. Fortunately, we now have sound data indicating that conservative treatment can be used for certain patients.

Regardless of the approach selected, thoroughly counsel patients about their options and follow-up closely.

When to change course

A bandon conservative therapy if progression to carcinoma is found during surveillance sampling or if hyperplasia persists after 12 months of treatment.

The authors express their gratitude to Ms. Karen Roeder for her assistance in formatting and preparing the figures.

The authors report no financial relationship with any companies whose products are mentioned in this article.

This work is supported in part by the Georgia Cancer Coalition.

KEY POINTS

  • Untreated, atypical endometrial hyperplasia progresses to adenocarcinoma in 23% of patients, persists as hyperplasia in 19%, and regresses in 58%.
  • A review of 4 large studies found that progestin was associated with regression in 90% of women with hyperplasia arising from unopposed estrogen therapy. Several small retrospective studies found that progestin was likely to induce regression of atypical hyperplasia unrelated to estrogen therapy.
  • Gonadotropin-releasing hormone analogues appear to be effective for hyperplasia without atypia.

Although many gynecologists proceed to hysterectomy when hyperplasia with cellular atypia is found on an endometrial biopsy or curettage specimen, a number of conservative therapies are particularly useful for younger patients who wish to preserve fertility, and for women who do not desire or cannot undergo hysterectomy.

Prevalence and risk factors

Endometrial hyperplasia is a precursor to endometrial carcinoma, the most common malignancy of the female reproductive tract. In 2003, endometrial cancer is expected to account for approximately 6% of new female cancer cases and 3% of female cancer deaths.1

Besides endometrial hyperplasia, prominent risk factors for carcinoma are unopposed estrogen therapy, obesity, diabetes, early menarche, and late menopause.2

Classifying endometrial hyperplasia

In 1985, Kurman et al3 clarified the classification system for endometrial hyperplasia, proposing 2 broad categories: simple and complex (TABLE 1).

Simple hyperplasia is characterized by benign proliferation of endometrial glands, which are irregular and perhaps dilated, but which lack back-to-back crowding or cellular atypia (FIGURE 1).

Complex hyperplasia is characterized by grossly irregular endometrium and abnormal vasculature. It exhibits proliferation of endometrial glands with irregular outlines, architectural complexity, and back-to-back crowding but no atypia.

Presence or absence of atypia characterizes subdivisions of these 2 categories by degree of nuclear atypia and loss of polarity. Atypia can be found in both complex (FIGURE 2) and simple hyperplastic lesions.

TABLE 1

Classification of endometrial hyperplasia

CLASSIFICATIONDESCRIPTION
SimpleBenign proliferation of endometrial glands that are irregular and perhaps dilated but do not display back-to-back crowding or cellular atypia
ComplexProliferation of endometrial glands with irregular outlines, architectural complexity, and back-to-back crowding but no atypia
AtypicalVarying degrees of nuclear atypia and loss of polarity. Found in both simple and complex hyperplastic lesions
Data from: Kurman et al3

FIGURE 1 Simple hyperplasia without atypia


Simple hyperplasia with irregular glands but no back-to-back crowding or cellular atypia (hematoxylin & eosin×100).

High-power magnification of simple hyperplasia without atypia. The nuclei are uniform without cellular atypia (hematoxylin & eosin×400).

A majority of hyperplastic lesions regress

In their sentinel article on the classification of endometrial hyperplasia, Kurman et al3 describe the behavior of the 4 categories of endometrial hyperplasia in 170 patients (TABLE 2). They found that, during a mean follow-up of 11.4 years, disease regressed in 69% of patients with simple atypical hyperplasia, 57% of patients with complex atypical hyperplasia, and 58% of patients with hyperplasia with cellular atypia.

Disease progressed to carcinoma in 8% of patients with simple atypical hyperplasia, 29% of patients with complex atypical hyperplasia, and 23% of patients with hyperplasia with cellular atypia.

One patient with disease progression had stage IV endometrial carcinoma with metastasis to the inguinal lymph nodes and bowel.3

The average age for patients with atypia was 40; 38% of patients were 35 or younger.

In a similar study involving 77 women with hyperplasia, 79% of cases with simple hyperplasia regressed over the 3 years of follow-up, as did the 1 case (100%) of simple hyperplasia with atypia, 94% of cases with complex hyperplasia, and 55% of cases with complex hyperplasia with atypia. Only 1 patient experienced progression to endometrial carcinoma; she initially had complex atypical hyperplasia.4

With proper monitoring, oral progestin therapy is a reasonable alternative to hysterectomy for treatment of hyperplasia.

TABLE 2

Regression, persistence, and progression rates of endometrial hyperplasia

TYPEN%REGRESSION% PERSISTENCE% PROGRESSION
Simple9380191
Simple with atypia1369238
Complex2980173
Complex with atypia35571429
All lesions with atypia48581923
Source: Kurman RJ, et al. Cancer. 1985;56:403-412. Copyright ©2003 American Cancer Society. Reprinted by permission of Wiley-Liss, Inc, a subsidiary of John Wiley & Sons, Inc.

Progestin therapy enhances regression

Because endometrial hyperplasia is estrogendependent, progestins are often used to induce regression. Progestin appears to decrease glandular cellularity in these lesions by triggering apoptosis.5 In addition, medroxyprogesterone acetate (MPA) significantly inhibits angiogenesis in the myometrium immediately underlying complex endometrial hyperplasia.6

Oral administration.

  • Simple or complex hyperplasia associated with estrogen therapy. A recent review of 4 large trials suggests that hyperplasia induced by estrogen therapy responds well to progestin treatment regardless of whether the disease is simple or complex. In the 4 trials, estrogen was discontinued and MPA was given continuously for 6 weeks or cyclically for 3 months.7 Both regimens were effective, with a total regression rate of 90% for all 4 studies.
  • Atypical hyperplasia unrelated to estrogen therapy. Several small retrospective studies demonstrated a beneficial effect of progestin treatment of atypical hyperplasia unrelated to estrogen therapy.
 

 

In a trial by Randall and Kurman,8 17 women with atypical endometrial hyperplasia were given either MPA or megestrol acetate for 3 to 12 months. Disease regressed in 16 of these patients—to either no hyperplasia (13 patients) or complex hyperplasia without atypia (3 patients). The remaining patient had persistent atypical hyperplasia after 4 months of treatment with megestrol. One of the women with disease regression subsequently became pregnant and delivered a full-term infant.8

A similar study examined 18 patients with atypical hyperplasia who were treated with MPA for 6 to 12 months.9 Fifteen patients had regression of disease; of these, 4 subsequently became pregnant and delivered full-term infants. One patient treated with MPA for 3 months had progression of disease to well-differentiated adenocarcinoma. The remaining 2 patients had persistent disease despite 3 to 6 months of progestin therapy.9

  • Clinical recommendations.

Dosage. Oral megestrol 80 to 120 mg daily or oral MPA 10 to 30 mg daily for approximately 6 months has been shown to cause regression to loss of atypia in 94% of patients with complex atypical hyperplasia and to normal endometrium in 81% of patients.8

Follow-up endometrial sampling. Patients on this regimen should undergo endometrial sampling every 2 to 3 months during therapy until regression to no hyperplasia is evident. Thereafter, sampling should be every 6 to 12 months because recurrence is possible.

When such monitoring is implemented, oral progestin therapy is reasonable, and oral progestin therapy is reasonable, and MPA and megestrol are acceptable choices even in the presence of atypia.

Other routes of administration. A number of investigators have examined the effectiveness of non-oral progestins. Although more studies are needed before their routine clinical use can be advised, the data are encouraging.

  • Intramuscular progesterone therapy. In a large prospective study, 192 patients with atypical endometrial hyperplasia were given large weekly doses (500 mg) of intramuscular MPA therapy for 3 months; 96.4% experienced loss of atypia on follow-up curettage specimens.10
  • Micronized progesterone vaginal cream was studied in a trial in which 78 patients who had hyperplasia without atypia (60 simple and 18 complex) were treated with cyclic natural micronized progesterone for 3 to 6 months; 90.5% had complete regression of hyperplasia.11
  • Levonorgestrel intrauterine devices.Perino et al12 studied the effects of levonorgestrel in 14 patients with endometrial hyperplasia (1 with atypia) over a 1-year period. In all cases without atypia, the hyperplasia regressed within 8 months. The sole patient with atypia experienced regression to hyperplasia without atypia in 2 months.

FIGURE 2 Complex hyperplasia with atypia


Photograph taken at hysteroscopy displaying shaggy, irregular endometrium with abnormal blood vessels. Microscopic examination revealed complex endometrial hyperplasia with atypia.

Photomicrograph of the curettage specimen (hematoxylin & eosin×100). At this magnification, complex endometrial hyperplasia with back-to-back glandular crowding is evident.

Photomicrograph of the curettage specimen (hematoxylin & eosin×400). Note the heterogeneous nuclei with prominent nucleoli.

Gonadotropin-releasing hormone analogues offer promise

Gonadotropin-releasing hormone (GnRH) analogues suppress the hypothalamicpituitary-ovarian axis, thereby inhibiting estrogen production and, potentially, causing the regression of endometrial hyperplasia. GnRH analogues also appear to have a direct antiproliferative effect on endometrial cells.13

In an investigation of 54 patients given intramuscular GnRH analogues for 6 months, approximately 85% of patients with simple or complex hyperplasia without atypia demonstrated regression to normal endometrium. Of the 3 women with complex atypical hyperplasia, however, only 1 had regression to hyperplasia without atypia, and the other 2 had persistent disease.14

Perez-Medina et al15 gave 19 patients with complex atypical hyperplasia a combination of progestin and GnRH analogues and followed them for 5 years. Patients received intramuscular MPA for 3 months, with 6 months of intramuscular GnRH analogues. Sixteen patients (84.2%) had complete regression at the 5-year follow-up, and 1 patient had persistent disease. One patient had a recurrence of disease at 5 years, and, in another, disease progressed to stage I endometrial adenocarcinoma.15

Clinical recommendations. GnRH analogues appear to be an effective treatment for hyperplasia without atypia, whether simple or complex. At this time, a standardized treatment protocol cannot be recommended without additional data. However, using a GnRH analogue for 6 months with sampling every 3 months is a reasonable option in patients without atypia.

Although the combination of progestin and GnRH agonists increases effectiveness against atypical hyperplasia, and therefore offers promise for patients desiring conservative therapy, existing trials are too small to define a standardized treatment option. Further study is needed before GnRH analogues can be recommended for clinical use in patients with atypical hyperplasia.

Encouraging reports on surgical modalities

Other surgical options have been investigated, but larger studies are needed to determine their safety and efficacy before they can be routinely recommended for women with hyperplasia who refuse hormonal therapy and hysterectomy, or for those who cannot undergo hysterectomy.

 

 

Larger studies are needed before surgical alternatives to hysterectomy can be routinely recommended for hyperplasia.

Thermal balloon ablation. Minassian and Mira16 reported use of thermal balloon ablation of the endometrium in a patient with complex endometrial hyperplasia with atypia.

The patient initially presented with a complaint of menorrhagia and had a preoperative endometrial biopsy that showed no evidence of hyperplasia. When she subsequently underwent a thermal balloon ablation procedure, a curettage specimen indicated complex hyperplasia with atypia. The patient underwent a hysterectomy 8 months later, at which time no pathologic evidence of persistent hyperplasia or carcinoma was found.

However, the authors recommend that ablation be avoided if hyperplasia is found on a preoperative sample, since postoperative surveillance of the endometrium would be impaired.16 This is also true for laser and resectoscopic therapy, since postoperative sampling would be potentially altered.

Laser therapy. Vilos and Ettler17 reported another case in which a patient with complex atypical hyperplasia underwent laser intrauterine thermal therapy. After 13 months of surveillance with transvaginal sonography, there was no evidence of disease.

Resectoscopic surgery also has been investigated in the treatment of atypical endometrial hyperplasia. Vilos et al18 successfully treated 8 patients using hysteroscopic endometrial resection. A larger study involving 73 women with hyperplasia without atypia showed complete regression in 71 of the 73 patients over an average of 34 months of follow-up.19

Abandon conservative therapy if hyperplasia persists after 12 months of treatment.

Patient counseling and follow-up

In women who wish to preserve fertility, management of endometrial hyperplasia can be a challenge. Fortunately, we now have sound data indicating that conservative treatment can be used for certain patients.

Regardless of the approach selected, thoroughly counsel patients about their options and follow-up closely.

When to change course

A bandon conservative therapy if progression to carcinoma is found during surveillance sampling or if hyperplasia persists after 12 months of treatment.

The authors express their gratitude to Ms. Karen Roeder for her assistance in formatting and preparing the figures.

The authors report no financial relationship with any companies whose products are mentioned in this article.

This work is supported in part by the Georgia Cancer Coalition.

References

1. Jemal A, Murray T, Samuels A, et al. Cancer statistics, 2003. CA Cancer J Clin. 2003;53:5-26.

2. Ricci E, Moroni S, Parazzini F, et al. Risk factors for endometrial hyperplasia: results from a case-control study. Int J Gynecol Cancer. 2002;12:257-260.

3. Kurman RJ, Kaminski PF, Norris HJ. The behavior of endometrial hyperplasia: a long-term study of “untreated”hyperplasia in 170 patients. Cancer. 1985;56:403-412.

4. Tabata T, Yamawaki T, Yabana T, et al. Natural history of endometrial hyperplasia: study of 77 patients. Arch Gynecol Obstet. 2001;265:85-88.

5. Amezcua CA, Lu JJ, Felix JC, et al. Apoptosis may be an early event of progestin therapy for endometrial hyperplasia. Gynecol Oncol. 2000;79:169-176.

6. Abulafia O, Triest WE, Adcock JT, et al. The effect of medroxyprogesterone acetate on angiogenesis in complex endometrial hyperplasia. Gynecol Oncol. 1999;72:193-198.

7. Figueroa-Casas PR, Ettinger B, Delgado E, et al. Reversal by medical treatment of endometrial hyperplasia caused by estrogen replacement therapy. Menopause. 2001;8:420-423.

8. Randall TC, Kurman RJ. Progestin treatment of atypical hyperplasia and well-differentiated carcinoma of the endometrium in women under age 40. Obstet Gynecol. 1997;90:434-440.

9. Kaku T, Yoshikawa H, Tsuda H, et al. Conservative therapy for adenocarcinoma and atypical endometrial hyperplasia of the endometrium in young women: a central pathologic review and treatment outcome. Cancer Lett. 2001;167:39-48.

10. Kobiashvili H, Charkviani L, Charkviani T. Organ preserving method in the management of atypical endometrial hyperplasia. Eur J Gynaecol Oncol. 2001;12:297-299.

11. Affinito P, DiCarlo C, DiMauro P, et al. Endometrial hyperplasia: efficacy of a new treatment with a vaginal cream containing natural micronized progesterone. Maturitas. 1995;20:191-198.

12. Perino A, Quartararo P, Catinella E, et al. Treatment of endometrial hyperplasia with levonorgestrel releasing intrauterine devices. Acta Eur Fertil. 1987;18:137-140.

13. Agorastos T, Bontis J, Vakiani TO, et al. Treatment of endometrial hyperplasia with gonadotropin-releasing hormone agonists: pathological, clinical, morphometric, and DNA-cytometric data. Gynecol Oncol. 1997;65:102-114.

14. Grimbizis G, Tsalikis T, Tzioufa V, et al. Regression of endometrial hyperplasia after treatment with gonadotrophin-releasing hormone analogue triptorelin: a prospective study. Hum Reprod. 1999;14:479-484.

15. Perez-Medina T, Bajo J, Folgueira G, et al. Atypical endometrial hyperplasia treatment with progesterone and gonadotropin-releasing hormone analogues: longterm follow-up. Gynecol Oncol. 1999;73:299-304.

16. Minassian VA, Mira JL. Balloon thermoablation in a woman with complex endometrial hyperplasia with atypia: a case report. J Reprod Med. 2001;46:933-936.

17. Vilos GA, Ettler HC. Atypical complex endometrial hyperplasia treated with the GyneLase system. J Am Assoc Gynecol Laparosc. 2002;9:73-78.

18. Vilos GA, Harding PG, Ettler HC. Resectoscopic surgery in 10 women with abnormal uterine bleeding and atypical endometrial hyperplasia. J Am Assoc Gynecol Laparosc. 2002;9:138-144.

19. Cianferoni L, Giannini A, Franchini M. Hysteroscopic resection of endometrial hyperplasia. J Am Assoc Gynecol Laparosc. 1999;6:151-154.

References

1. Jemal A, Murray T, Samuels A, et al. Cancer statistics, 2003. CA Cancer J Clin. 2003;53:5-26.

2. Ricci E, Moroni S, Parazzini F, et al. Risk factors for endometrial hyperplasia: results from a case-control study. Int J Gynecol Cancer. 2002;12:257-260.

3. Kurman RJ, Kaminski PF, Norris HJ. The behavior of endometrial hyperplasia: a long-term study of “untreated”hyperplasia in 170 patients. Cancer. 1985;56:403-412.

4. Tabata T, Yamawaki T, Yabana T, et al. Natural history of endometrial hyperplasia: study of 77 patients. Arch Gynecol Obstet. 2001;265:85-88.

5. Amezcua CA, Lu JJ, Felix JC, et al. Apoptosis may be an early event of progestin therapy for endometrial hyperplasia. Gynecol Oncol. 2000;79:169-176.

6. Abulafia O, Triest WE, Adcock JT, et al. The effect of medroxyprogesterone acetate on angiogenesis in complex endometrial hyperplasia. Gynecol Oncol. 1999;72:193-198.

7. Figueroa-Casas PR, Ettinger B, Delgado E, et al. Reversal by medical treatment of endometrial hyperplasia caused by estrogen replacement therapy. Menopause. 2001;8:420-423.

8. Randall TC, Kurman RJ. Progestin treatment of atypical hyperplasia and well-differentiated carcinoma of the endometrium in women under age 40. Obstet Gynecol. 1997;90:434-440.

9. Kaku T, Yoshikawa H, Tsuda H, et al. Conservative therapy for adenocarcinoma and atypical endometrial hyperplasia of the endometrium in young women: a central pathologic review and treatment outcome. Cancer Lett. 2001;167:39-48.

10. Kobiashvili H, Charkviani L, Charkviani T. Organ preserving method in the management of atypical endometrial hyperplasia. Eur J Gynaecol Oncol. 2001;12:297-299.

11. Affinito P, DiCarlo C, DiMauro P, et al. Endometrial hyperplasia: efficacy of a new treatment with a vaginal cream containing natural micronized progesterone. Maturitas. 1995;20:191-198.

12. Perino A, Quartararo P, Catinella E, et al. Treatment of endometrial hyperplasia with levonorgestrel releasing intrauterine devices. Acta Eur Fertil. 1987;18:137-140.

13. Agorastos T, Bontis J, Vakiani TO, et al. Treatment of endometrial hyperplasia with gonadotropin-releasing hormone agonists: pathological, clinical, morphometric, and DNA-cytometric data. Gynecol Oncol. 1997;65:102-114.

14. Grimbizis G, Tsalikis T, Tzioufa V, et al. Regression of endometrial hyperplasia after treatment with gonadotrophin-releasing hormone analogue triptorelin: a prospective study. Hum Reprod. 1999;14:479-484.

15. Perez-Medina T, Bajo J, Folgueira G, et al. Atypical endometrial hyperplasia treatment with progesterone and gonadotropin-releasing hormone analogues: longterm follow-up. Gynecol Oncol. 1999;73:299-304.

16. Minassian VA, Mira JL. Balloon thermoablation in a woman with complex endometrial hyperplasia with atypia: a case report. J Reprod Med. 2001;46:933-936.

17. Vilos GA, Ettler HC. Atypical complex endometrial hyperplasia treated with the GyneLase system. J Am Assoc Gynecol Laparosc. 2002;9:73-78.

18. Vilos GA, Harding PG, Ettler HC. Resectoscopic surgery in 10 women with abnormal uterine bleeding and atypical endometrial hyperplasia. J Am Assoc Gynecol Laparosc. 2002;9:138-144.

19. Cianferoni L, Giannini A, Franchini M. Hysteroscopic resection of endometrial hyperplasia. J Am Assoc Gynecol Laparosc. 1999;6:151-154.

Issue
OBG Management - 15(09)
Issue
OBG Management - 15(09)
Page Number
15-26
Page Number
15-26
Publications
Publications
Article Type
Display Headline
Conservative management of endometrial hyperplasia: New strategies and experimental options
Display Headline
Conservative management of endometrial hyperplasia: New strategies and experimental options
Sections
Article Source

PURLs Copyright

Inside the Article

Article PDF Media